[Ortho] Некорректная установка

Volodymyr Kovalchuk orthoforum на weborto.net
Пт Сен 2 01:54:02 YEKST 2011


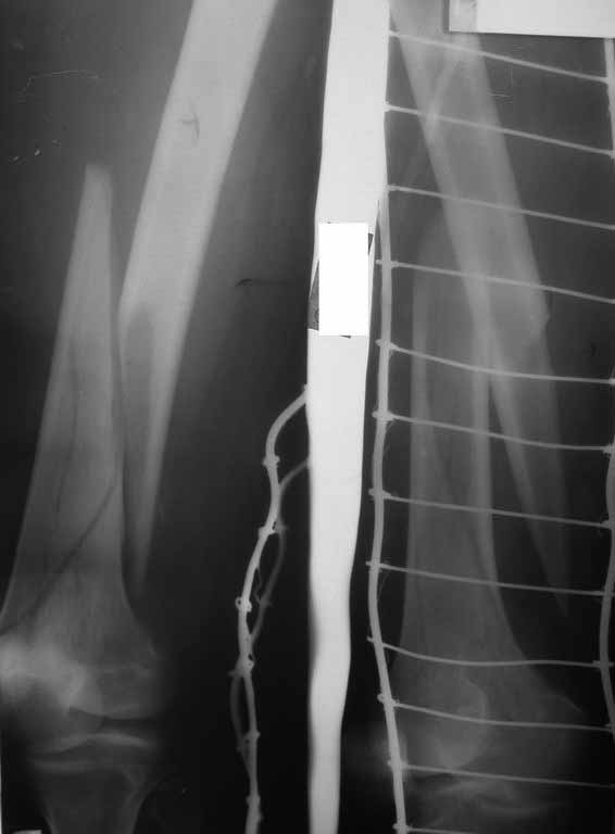
Еще один очень важный нюанс при лечении диафизарных переломов бедра и голени - это лигаментотаксис. Простыми словами, перелом нужно достаточно растянуть. Нам известно три способа как это сделать:

1) мануальный руками (самый дешевый и распостраненный, требует недюжинных усилий и +1 ассистента)
2) ортопедический стол (самый дорогой, длительное время на подготовку)
3) большой бедренный дистрактор (самый любимый, золотая середина)

В данному случае, в том числе, перелом не был достаточно растянут. Во многих случаях (преимущественно все-таки при многооскольчатых переломах) именно тракция является основным репонирующим моментом, который и восстанавливает длину и ось. Остается только следить за ротацией. Мышечно-фасциальные футляры во время тракции восстановят правильные соотнешения, если только нет интерпозиции. 

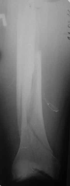
Представляю вам один из наших недавних случаев выполнения малоинвазивного остеосинтеза бедренной кости обычной пластиной 95 градусов.  Длина восстановлена с помощью дистрактора (по сути это основная и б(о)льшая часть репозиции). Произведено два небольших доступа, проведена спица направитель. Рентген-контроль для подтверждения достаточной длины/оси(ЭОП использовался в другой операционной). Создание тунеля обратной стороной фиксатора. Поворот фиксатора, введение клинка по спице. Фиксация проксимального и дистального концов пластины.
Volodymyr Kovalchuk
----------- следущая часть -----------
Вложение не в текстовом формате было извлечено…
Имя     : 1Xpre.JPG
Тип     : image/jpg
Размер  : 32005 байтов
Описание: отсутствует
Url     : http://weborto.net:8080/pipermail/ortho/attachments/20110902/aa3367e1/attachment-0007.jpg 
----------- следущая часть -----------
Вложение не в текстовом формате было извлечено…
Имя     : 2Xpre3.JPG
Тип     : image/jpg
Размер  : 14364 байтов
Описание: отсутствует
Url     : http://weborto.net:8080/pipermail/ortho/attachments/20110902/aa3367e1/attachment-0008.jpg 
----------- следущая часть -----------
Вложение не в текстовом формате было извлечено…
Имя     : 3op1.jpg
Тип     : image/jpg
Размер  : 45470 байтов
Описание: отсутствует
Url     : http://weborto.net:8080/pipermail/ortho/attachments/20110902/aa3367e1/attachment-0009.jpg 
----------- следущая часть -----------
Вложение не в текстовом формате было извлечено…
Имя     : 4op2.jpg
Тип     : image/jpg
Размер  : 29813 байтов
Описание: отсутствует
Url     : http://weborto.net:8080/pipermail/ortho/attachments/20110902/aa3367e1/attachment-0010.jpg 
----------- следущая часть -----------
Вложение не в текстовом формате было извлечено…
Имя     : 5op3.jpg
Тип     : image/jpg
Размер  : 28297 байтов
Описание: отсутствует
Url     : http://weborto.net:8080/pipermail/ortho/attachments/20110902/aa3367e1/attachment-0011.jpg 
----------- следущая часть -----------
Вложение не в текстовом формате было извлечено…
Имя     : 6Xpost1.JPG
Тип     : image/jpg
Размер  : 19194 байтов
Описание: отсутствует
Url     : http://weborto.net:8080/pipermail/ortho/attachments/20110902/aa3367e1/attachment-0012.jpg 
----------- следущая часть -----------
Вложение не в текстовом формате было извлечено…
Имя     : 7Xpost2.JPG
Тип     : image/jpg
Размер  : 36955 байтов
Описание: отсутствует
Url     : http://weborto.net:8080/pipermail/ortho/attachments/20110902/aa3367e1/attachment-0013.jpg 


Подробная информация о списке рассылки Ortho