[Ortho] Остаточные явления трансартикулярной фиксации голеностопного сустава при переломе лодыжек

"Бережной Сергей" orthoforum на weborto.net
Пт Сен 2 03:03:09 YEKST 2011


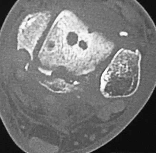
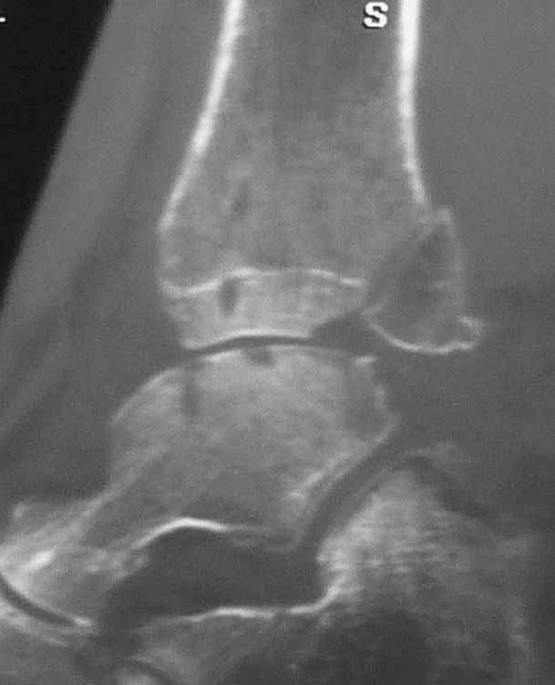
Уважаемые коллеги. Не так давно на форуме коротко обсуждались возможные последствия
трансартикулярной фиксации голеностопного сустава при переломовывихах лодыжек.

На днях довелось увидеть КТ после удаления спиц. Картинки наглядные и, практически, не
нуждаются в комментариях. Одна из спиц, кстати, проходила через фрагмент заднего края.
Бережной Сергей
----------- следущая часть -----------
Вложение в формате HTML было извлечено…
URL: http://weborto.net:8080/pipermail/ortho/attachments/20110902/51badc0e/attachment-0001.htm 
----------- следущая часть -----------
Вложение не в текстовом формате было извлечено…
Имя     : image001.jpg
Тип     : image/jpg
Размер  : 43467 байтов
Описание: отсутствует
Url     : http://weborto.net:8080/pipermail/ortho/attachments/20110902/51badc0e/attachment-0003.jpg 
----------- следущая часть -----------
Вложение не в текстовом формате было извлечено…
Имя     : image003.jpg
Тип     : image/jpg
Размер  : 35009 байтов
Описание: отсутствует
Url     : http://weborto.net:8080/pipermail/ortho/attachments/20110902/51badc0e/attachment-0004.jpg 
----------- следущая часть -----------
Вложение не в текстовом формате было извлечено…
Имя     : image005.jpg
Тип     : image/jpg
Размер  : 58202 байтов
Описание: отсутствует
Url     : http://weborto.net:8080/pipermail/ortho/attachments/20110902/51badc0e/attachment-0005.jpg 


Подробная информация о списке рассылки Ortho