[Ortho] Некорректная установка

Alexander Chelnokov alex61 на gmail.com
Сб Сен 3 15:06:42 YEKST 2011


Приветствую,

2 сентября 2011 г. 1:54 пользователь Volodymyr Kovalchuk <
orthoforum на weborto.net> написал:

> Еще один очень важный нюанс при лечении диафизарных переломов бедра и
> голени - это лигаментотаксис.


При диафизарных переломах нет необходимости в лигаментотаксисе, то есть тяге
за связки через сустав, тракционное усилие целесообразно прикладывать
непосредственно к концам поврежденного сегмента.



> Простыми словами, перелом нужно достаточно растянуть. Нам известно три
> способа как это сделать:
>
>
Есть возможность использовать дистрактор из полуколец и дуг аппарата
Илизарова, которые крепятся к спицам.



> следить за ротацией. Мышечно-фасциальные футляры во время тракции
> восстановят правильные соотнешения, если только нет интерпозиции.
>

Мышечная интерпозиция после восстановления длины с перерастяжением - не миф?



> Представляю вам один из наших недавних случаев выполнения малоинвазивного
> остеосинтеза бедренной кости обычной пластиной 95
>

Получилось очень симпатично, поздравляю и восхищаюсь мастерством.
Хотя закрытый остеосинтез блокированным гвоздем выглядит технически проще,
особенно при диафизарных  переломах. Не говоря о биомеханических
преимуществах внутрикостного имплантата, еще меньшей инвазивности,
возможности динамизации при проблемах со сращением... Стоимость гвоздей и
пластин сопоставимая, на рынке есть масса отечественных предложений.
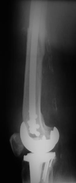
В приложении - недавний перипротезный перелом.
Методичка по закрытому интрамедулярному остеосинтезу при дистальных
переломах бедра тут - http://weborto.net/forum/guidelines/distalfemnailing

-- 
Best regards,
 Alexander N. Chelnokov
Ural Scientific Research Institute
of Traumatology and Orthopaedics
7, Bankovsky str. Ekaterinburg 620014 Russia
----------- следущая часть -----------
Вложение в формате HTML было извлечено&hellip;
URL: http://weborto.net:8080/pipermail/ortho/attachments/20110903/40f50831/attachment-0001.htm 
----------- следущая часть -----------
Вложение не в текстовом формате было извлечено&hellip;
Имя     : 1get_image.jpg
Тип     : image/jpeg
Размер  : 10309 байтов
Описание: отсутствует
Url     : http://weborto.net:8080/pipermail/ortho/attachments/20110903/40f50831/attachment-0006.jpg 
----------- следущая часть -----------
Вложение не в текстовом формате было извлечено&hellip;
Имя     : 2get_image.jpg
Тип     : image/jpeg
Размер  : 7863 байтов
Описание: отсутствует
Url     : http://weborto.net:8080/pipermail/ortho/attachments/20110903/40f50831/attachment-0007.jpg 
----------- следущая часть -----------
Вложение не в текстовом формате было извлечено&hellip;
Имя     : 3get_image.jpg
Тип     : image/jpeg
Размер  : 9627 байтов
Описание: отсутствует
Url     : http://weborto.net:8080/pipermail/ortho/attachments/20110903/40f50831/attachment-0008.jpg 
----------- следущая часть -----------
Вложение не в текстовом формате было извлечено&hellip;
Имя     : 4get_image.jpg
Тип     : image/jpeg
Размер  : 11851 байтов
Описание: отсутствует
Url     : http://weborto.net:8080/pipermail/ortho/attachments/20110903/40f50831/attachment-0009.jpg 
----------- следущая часть -----------
Вложение не в текстовом формате было извлечено&hellip;
Имя     : 5get_image.jpg
Тип     : image/jpeg
Размер  : 8756 байтов
Описание: отсутствует
Url     : http://weborto.net:8080/pipermail/ortho/attachments/20110903/40f50831/attachment-0010.jpg 
----------- следущая часть -----------
Вложение не в текстовом формате было извлечено&hellip;
Имя     : 6get_image.jpg
Тип     : image/jpeg
Размер  : 45952 байтов
Описание: отсутствует
Url     : http://weborto.net:8080/pipermail/ortho/attachments/20110903/40f50831/attachment-0011.jpg 


Подробная информация о списке рассылки Ortho