[Ortho] Пилон

"Андрей Мелёшкин" orthoforum на weborto.net
Сб Сен 10 02:54:47 YEKST 2011


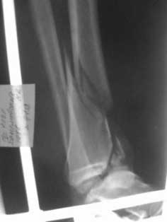
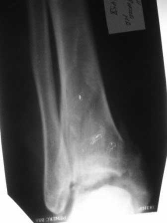
Уважаемые коллеги, хотелось бы услышать как прооперировать этот злополучный перелом
(интерисует погружной синтез)?

Извините за качество снимков! Если сможите разобрать, то: 1)Какой доступ
предпочтительней? 2)Каким образом устранить тенденцию к подвывиху кпереди (не будет ли
проблемой оскольчатость переднего края)? Заранее спасибо! С уважением А.Мелёшкин!
----------- следущая часть -----------
Вложение в формате HTML было извлечено…
URL: http://weborto.net:8080/pipermail/ortho/attachments/20110910/c7eceb1e/attachment-0001.htm 
----------- следущая часть -----------
Вложение не в текстовом формате было извлечено…
Имя     : image009.jpg
Тип     : image/jpg
Размер  : 25202 байтов
Описание: отсутствует
Url     : http://weborto.net:8080/pipermail/ortho/attachments/20110910/c7eceb1e/attachment-0002.jpg 
----------- следущая часть -----------
Вложение не в текстовом формате было извлечено…
Имя     : image011.jpg
Тип     : image/jpg
Размер  : 17097 байтов
Описание: отсутствует
Url     : http://weborto.net:8080/pipermail/ortho/attachments/20110910/c7eceb1e/attachment-0003.jpg 


Подробная информация о списке рассылки Ortho