[Ortho] Пилон

"Андрей Мелёшкин" orthoforum на weborto.net
Ср Сен 14 14:51:34 YEKST 2011


Отчет по "пилону":)))
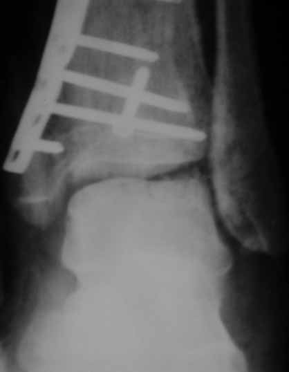
Извиняюсь пропал - оперировал "пилон". В форуме не хотел обсуждать финансовые возможности пациента. Потянул комбинированную пластину. Опыт общение с пластиной "крест" есть - не очень понравилось - слишком много места занимает, даже с учетом обрезаний лишнего. Сделал доступ огибающий медиальную лодыжку спереди. В переднем крае оказался достаточно крупный отломок - удалось зафиксировать винтом. Деффекта кости не оказалось.
Всем большое спасибо!!! 
Андрей Мелёшкин
----------- следущая часть -----------
Вложение в формате HTML было извлечено…
URL: http://weborto.net:8080/pipermail/ortho/attachments/20110914/eab84a33/attachment-0001.htm 
----------- следущая часть -----------
Вложение не в текстовом формате было извлечено…
Имя     : image001.jpg
Тип     : image/jpg
Размер  : 17976 байтов
Описание: отсутствует
Url     : http://weborto.net:8080/pipermail/ortho/attachments/20110914/eab84a33/attachment-0003.jpg 
----------- следущая часть -----------
Вложение не в текстовом формате было извлечено…
Имя     : image003.jpg
Тип     : image/jpg
Размер  : 17532 байтов
Описание: отсутствует
Url     : http://weborto.net:8080/pipermail/ortho/attachments/20110914/eab84a33/attachment-0004.jpg 
----------- следущая часть -----------
Вложение не в текстовом формате было извлечено…
Имя     : image005.jpg
Тип     : image/jpg
Размер  : 24569 байтов
Описание: отсутствует
Url     : http://weborto.net:8080/pipermail/ortho/attachments/20110914/eab84a33/attachment-0005.jpg 


Подробная информация о списке рассылки Ortho