[Ortho] Контрактура плечевого сустава

"Михаил" orthoforum на weborto.net
Вс Сен 18 15:48:37 YEKST 2011


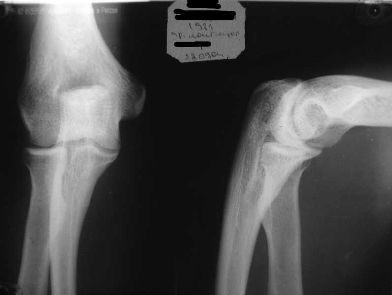
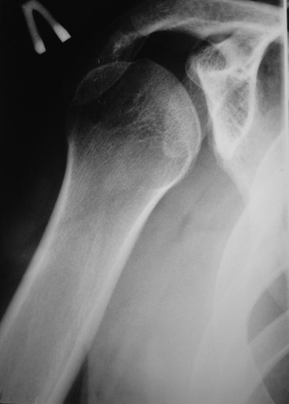
Уважаемые коллеги! Требуется ваша помощь. На консультацию обратился пациент 30 лет с
жалобами на ограничение активных движений в левом плечевом суставе. 

Пассивные в полном объеме. Со слов имела место некая родовая травма. К тому же отмечается незначительный
дефицит иннервации n.radialis (снижение ╚ силы ╩ разгибателей-сгибателей в кистевом
суставе и отведения 1 пальца; неврологи никакого специфичного лечения не назначают). Также
имеется контрактура локтевого сустава: сгибание в полном объеме, разгибание 150 градусов,
супинация в пределах 7 градусов. Функция конечности в принципе устраивает. Скелетных травм
в анамнезе нет. Вопрос: есть ли смысл заниматься какими-либо реконструкциям на плечевом
суставе и как можно улучшить функцию скомпрометированных суставов? Заранее всем
благодарен
Михаил
----------- следущая часть -----------
Вложение не в текстовом формате было извлечено…
Имя     : 1.JPG
Тип     : image/jpg
Размер  : 29712 байтов
Описание: отсутствует
Url     : http://weborto.net:8080/pipermail/ortho/attachments/20110918/2ded918c/attachment-0004.jpg 
----------- следущая часть -----------
Вложение не в текстовом формате было извлечено…
Имя     : 2.JPG
Тип     : image/jpg
Размер  : 30090 байтов
Описание: отсутствует
Url     : http://weborto.net:8080/pipermail/ortho/attachments/20110918/2ded918c/attachment-0005.jpg 
----------- следущая часть -----------
Вложение не в текстовом формате было извлечено…
Имя     : 3.JPG
Тип     : image/jpg
Размер  : 31176 байтов
Описание: отсутствует
Url     : http://weborto.net:8080/pipermail/ortho/attachments/20110918/2ded918c/attachment-0006.jpg 
----------- следущая часть -----------
Вложение не в текстовом формате было извлечено…
Имя     : 4.JPG
Тип     : image/jpg
Размер  : 42176 байтов
Описание: отсутствует
Url     : http://weborto.net:8080/pipermail/ortho/attachments/20110918/2ded918c/attachment-0007.jpg 


Подробная информация о списке рассылки Ortho