[Ortho] остеотомии таза при дисплазиях т\б сустава.

"Глазков Константин" orthoforum на weborto.net
Вт Сен 27 14:42:38 YEKST 2011


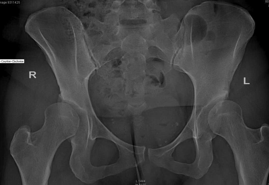
Пациентке 31 год. Р-гр прилагаю. Житель ЕС. консультировалась в Германии,Франции и Италии.
могут выполнить протезирование но советуют поискать специалистов занимающихся
остеотомиями таза.
Глазков Константин
----------- следущая часть -----------
Вложение не в текстовом формате было извлечено…
Имя     : Inga Jesareva RNG.JPG
Тип     : image/jpg
Размер  : 47498 байтов
Описание: отсутствует
Url     : http://weborto.net:8080/pipermail/ortho/attachments/20110927/93881dfc/attachment-0001.jpg 


Подробная информация о списке рассылки Ortho