[Ortho] Варусная деформация проксимального конца бедренной кости

"Алмасбек" orthoforum на weborto.net
Пн Апр 2 18:06:06 YEKST 2012


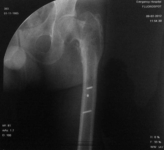
Рентгенограмма пациента А 49 лет с диагнозом: Неправильно консолидированный подвертельный перелом левой бедренной кости, с варусной деформацией.
На рентгенограммах левого тазобедренного  сустава шеечно-диафизарный угол 90 градус. Признаки артроза 2 ст и очаг остеосклероза  в проекции ШДУ (указан стрелкой).
Алмасбек
----------- следущая часть -----------
Вложение в формате HTML было извлечено…
URL: http://weborto.net:8080/pipermail/ortho/attachments/20120402/6f2b7b8d/attachment-0001.htm 
----------- следущая часть -----------
Вложение не в текстовом формате было извлечено…
Имя     : ap.jpg
Тип     : image/jpg
Размер  : 41307 байтов
Описание: отсутствует
Url     : http://weborto.net:8080/pipermail/ortho/attachments/20120402/6f2b7b8d/attachment-0002.jpg 
----------- следущая часть -----------
Вложение не в текстовом формате было извлечено…
Имя     : lat.jpg
Тип     : image/jpg
Размер  : 26970 байтов
Описание: отсутствует
Url     : http://weborto.net:8080/pipermail/ortho/attachments/20120402/6f2b7b8d/attachment-0003.jpg 


Подробная информация о списке рассылки Ortho