[Ortho] Возможно ревизионное колено?

"Виноградский Александр" orthoforum на weborto.net
Пн Апр 2 20:01:06 YEKST 2012


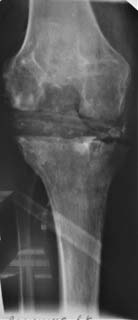
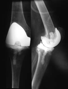
Уважаемые коллеги! Пациент мужчина 62 года эндопротезирование коленного сустава в
сентябре 2011 в одном из соседних учреждений. Множественные операции по восстановлению
связок в анамнезе

Под наше наблюдение попал спустя 3 месяца с клиникой глубокой перипротоезной инфекции.
Гнойный свищ, MRSA в посеве. Выполнено удаление протеза, некрэктомия, установка
цементного спейсера. Заживление первичное, а\б терапия по посевам, в течении 2 месяцев
положительная динамика, нормализация лабораторных показателей. В последующем усиление
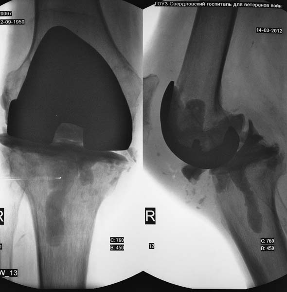
болей, отек, разрушение спейсера по рентегнограммам. Взят в операционную для повторной
некрэктомии, удаления спейсера. Во время операции выявлено- отсутствие явного гнойного
содержимого, ткани более жизнеспособные чем во время первого удаления, отсутствие
значительного прогрессирования костных дефектов. Решено от одномоментного артродеза
воздержаться, конечность стабилтзирована дистракционным аппаратом. В
интраоперациооных посевах St.aureus В настоящее время две недели после операции, встает
вопрос о возможностях далнейшего лечения. Ревизонное колено? Еще раз после спейсера или
сразу? Или артродез
Виноградский Александр
СОКП ГВВ
----------- следущая часть -----------
Вложение в формате HTML было извлечено…
URL: http://weborto.net:8080/pipermail/ortho/attachments/20120402/95bd2159/attachment-0001.htm 
----------- следущая часть -----------
Вложение не в текстовом формате было извлечено…
Имя     : IMG_0288.jpg
Тип     : image/jpg
Размер  : 15457 байтов
Описание: отсутствует
Url     : http://weborto.net:8080/pipermail/ortho/attachments/20120402/95bd2159/attachment-0004.jpg 
----------- следущая часть -----------
Вложение не в текстовом формате было извлечено…
Имя     : IMG_0289.jpg
Тип     : image/jpg
Размер  : 19344 байтов
Описание: отсутствует
Url     : http://weborto.net:8080/pipermail/ortho/attachments/20120402/95bd2159/attachment-0005.jpg 
----------- следущая часть -----------
Вложение не в текстовом формате было извлечено…
Имя     : IMG_0290.jpg
Тип     : image/jpg
Размер  : 18612 байтов
Описание: отсутствует
Url     : http://weborto.net:8080/pipermail/ortho/attachments/20120402/95bd2159/attachment-0006.jpg 
----------- следущая часть -----------
Вложение не в текстовом формате было извлечено…
Имя     : IMG_0293.jpg
Тип     : image/jpg
Размер  : 44558 байтов
Описание: отсутствует
Url     : http://weborto.net:8080/pipermail/ortho/attachments/20120402/95bd2159/attachment-0007.jpg 


Подробная информация о списке рассылки Ortho