[Ortho] Аваскулярный некроз таранной кости

Djoldas Kuldjanov orthoforum на weborto.net
Вс Апр 8 02:49:17 YEKST 2012


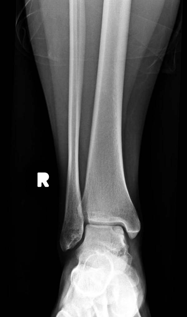
Разбираемый случай не имеет ничего общего с классическим Аваскулярным Некрозом Таранной кости. Здесь так назывемый (osteochondral defect) или osteochondritis dissecans (OCD) таранной кости, при котором патология локализуется в медиально-верхнем нагрузочном отделе. В основном OCD
встречается после хронической травмы, но бывают случаи врожденного генеза, которые обнаруживаются при случайных исследованиях.
Антифизиологическая стойка или хроническая травма: у лыжников или конькобежцев является фактором, приводящим к износу медиальной нагрузочной зоны тарана.
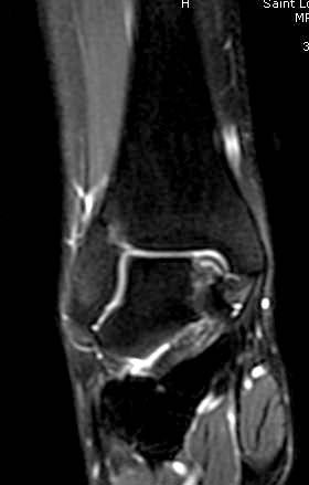
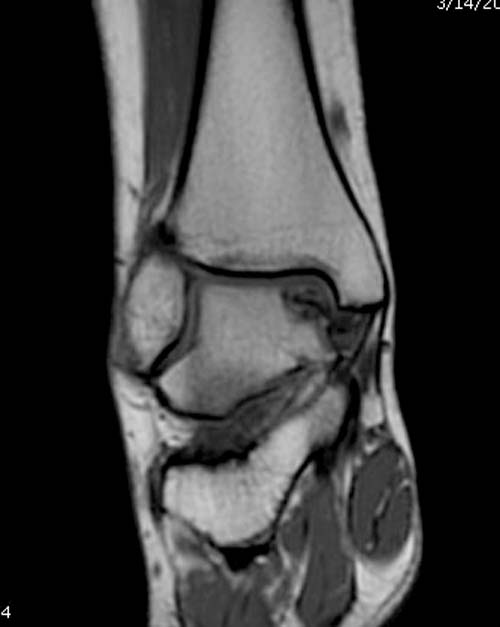
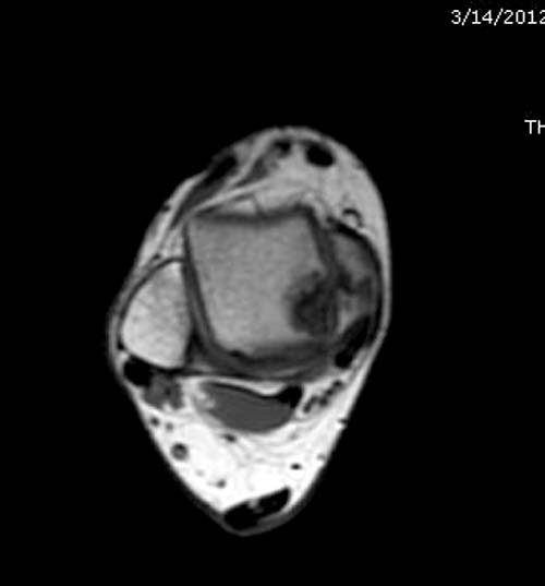
Симптоматология  OCD выражается слабым отеком, а более сильные боли наступают после физической нагрузки. В отличие от АВН тарана, когда боли постоянные, а при OCD боли изчезают после отдыха. В начальных стадиях
на рентгенограммах не всегда заметны склерозные участки, и поэтому в большинстве диагноз устанавливается поздно. Приход КТ и МРТ улучшил диагностику, и в срезах внутри кисты можно увидеть жидкость, но это не означает проявление симптоматологии. Симптомы проявляются с момента образования внутрисуставных краевых фрагментаций!
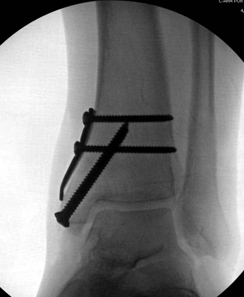
При умеренных проявлениях можно ограничиться консервативным лечением, но при выраженной симптоматике необходимо удалить свободные фрагменты.
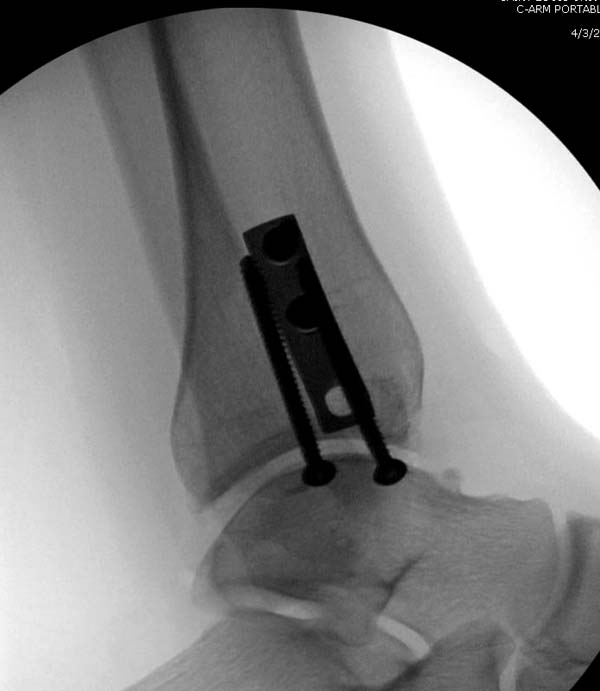
Артроскопия с дебридментом приносит облегчение, но огромные медиально-верхние дефекты надо замещать. Хирургический доступ через медиальную лодыжку, а для замещения применяют современные алломатериалы.
Для ресторации хряща используем хорошо зарекомендовавший продукт компании DeNovo, который полностью восстанавливает повреждение.

И пару дней назад провели операцию... А при огромных дефектах остеохондральный аллографт который выбирается по контуру тарана.

http://www.zimmer.com/content/pdf/en-US/DeNovo_NT_Graft_Surgical_Technique_(97-5608-002-00)_(02_2010).pdf

Djoldas Kuldjanov
----------- следущая часть -----------
Вложение в формате HTML было извлечено…
URL: http://weborto.net:8080/pipermail/ortho/attachments/20120408/bb356219/attachment-0001.htm 
----------- следущая часть -----------
Вложение не в текстовом формате было извлечено…
Имя     : 1 OCD ap 1.jpg
Тип     : image/jpg
Размер  : 44094 байтов
Описание: отсутствует
Url     : http://weborto.net:8080/pipermail/ortho/attachments/20120408/bb356219/attachment-0012.jpg 
----------- следущая часть -----------
Вложение не в текстовом формате было извлечено…
Имя     : 2 OCD CT.jpg
Тип     : image/jpg
Размер  : 22540 байтов
Описание: отсутствует
Url     : http://weborto.net:8080/pipermail/ortho/attachments/20120408/bb356219/attachment-0013.jpg 
----------- следущая часть -----------
Вложение не в текстовом формате было извлечено…
Имя     : 3 OCD CT.jpg
Тип     : image/jpg
Размер  : 24295 байтов
Описание: отсутствует
Url     : http://weborto.net:8080/pipermail/ortho/attachments/20120408/bb356219/attachment-0014.jpg 
----------- следущая часть -----------
Вложение не в текстовом формате было извлечено…
Имя     : 5 OCD CT_1.jpg
Тип     : image/jpg
Размер  : 34833 байтов
Описание: отсутствует
Url     : http://weborto.net:8080/pipermail/ortho/attachments/20120408/bb356219/attachment-0015.jpg 
----------- следущая часть -----------
Вложение не в текстовом формате было извлечено…
Имя     : 5 OCD CT.jpg
Тип     : image/jpg
Размер  : 34833 байтов
Описание: отсутствует
Url     : http://weborto.net:8080/pipermail/ortho/attachments/20120408/bb356219/attachment-0016.jpg 
----------- следущая часть -----------
Вложение не в текстовом формате было извлечено…
Имя     : 6 OCD MRI.jpg
Тип     : image/jpg
Размер  : 23981 байтов
Описание: отсутствует
Url     : http://weborto.net:8080/pipermail/ortho/attachments/20120408/bb356219/attachment-0017.jpg 
----------- следущая часть -----------
Вложение не в текстовом формате было извлечено…
Имя     : 7 OCD MRI.jpg
Тип     : image/jpg
Размер  : 25582 байтов
Описание: отсутствует
Url     : http://weborto.net:8080/pipermail/ortho/attachments/20120408/bb356219/attachment-0018.jpg 
----------- следущая часть -----------
Вложение не в текстовом формате было извлечено…
Имя     : 8 OCD MRI.jpg
Тип     : image/jpg
Размер  : 40549 байтов
Описание: отсутствует
Url     : http://weborto.net:8080/pipermail/ortho/attachments/20120408/bb356219/attachment-0019.jpg 
----------- следущая часть -----------
Вложение не в текстовом формате было извлечено…
Имя     : 10 OCD MRI.jpg
Тип     : image/jpg
Размер  : 33644 байтов
Описание: отсутствует
Url     : http://weborto.net:8080/pipermail/ortho/attachments/20120408/bb356219/attachment-0020.jpg 
----------- следущая часть -----------
Вложение не в текстовом формате было извлечено…
Имя     : 11OCD DeNovo final.jpg
Тип     : image/jpg
Размер  : 34769 байтов
Описание: отсутствует
Url     : http://weborto.net:8080/pipermail/ortho/attachments/20120408/bb356219/attachment-0021.jpg 
----------- следущая часть -----------
Вложение не в текстовом формате было извлечено…
Имя     : 12 OCD DeNovo final lat.jpg
Тип     : image/jpg
Размер  : 38815 байтов
Описание: отсутствует
Url     : http://weborto.net:8080/pipermail/ortho/attachments/20120408/bb356219/attachment-0022.jpg 
----------- следущая часть -----------
Вложение не в текстовом формате было извлечено…
Имя     : Talar allograft.jpg
Тип     : image/jpg
Размер  : 45292 байтов
Описание: отсутствует
Url     : http://weborto.net:8080/pipermail/ortho/attachments/20120408/bb356219/attachment-0023.jpg 


Подробная информация о списке рассылки Ortho