[Ortho] Остеомиелит таза?

Alexbone orthoforum на weborto.net
Вс Апр 22 04:41:57 YEKST 2012


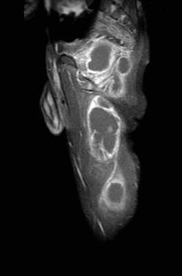
Хорошо когда есть микробиолог - подсказка. Аспират направили еще и на PCR (polymerase chain
reaction) с подозрением на то, что и нашли - TB. Чувствителен к рифампицину. Теперь
подключаем фтизиатров? Какой есть опыт, господа? P.S. А если нет PCR - сиди и гадай, что там?
Alexbone
----------- следущая часть -----------
Вложение в формате HTML было извлечено…
URL: http://weborto.net:8080/pipermail/ortho/attachments/20120422/37f05b09/attachment.htm 
----------- следущая часть -----------
Вложение не в текстовом формате было извлечено…
Имя     : mri 51203977.jpg
Тип     : image/jpg
Размер  : 18770 байтов
Описание: отсутствует
Url     : http://weborto.net:8080/pipermail/ortho/attachments/20120422/37f05b09/attachment.jpg 


Подробная информация о списке рассылки Ortho