[Ortho] Старый знакомый DHS

Alexbone orthoforum на weborto.net
Пн Апр 30 17:24:34 YEKST 2012


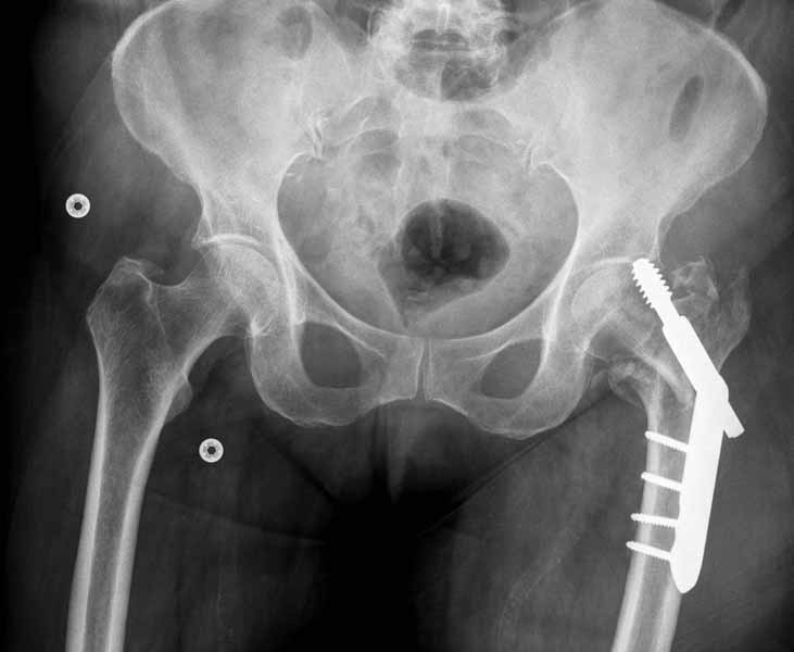
Очень рад и благодарен всем откликнувшимся и задумавшимся. Считаю, что задачей форума и является дискуссия, обмен опытом и материалами, чего как я вижу немного достиг. Спасибо огромное за статью!!! Потому что тема на мой взгляд очень актуальна. Как правильно заметил Александр в Англии, а я думаю и в Европе (как в России матушке - скажите мне сами)преобладает DHS в лечении переломов проксимального отдела бедра. Как более легкое, быстрое (вопрос еще), знакомое дело, особенно для ортопедов "старой" школы. Поэтому сплошь и рядом вижу подобные случаи, а если их не видно - значит пациент домирает в доме по уходу, которые очень распространены в Англии. Статистика этого острова - смертность в первый месяц 10%, в течении года - 30%, поэтому имеется циничная тенденция системы - ну чё мол стараться? Последнее время наблюдаю перемену в некоторых местах в сторону гвоздей, это где эмигрантов побольше. В данном конкретном случае подвоха никакого нет, а осложнения и нам уроки - скока хошь. Случай не мой, в госпитале проходил. Предлагаю учиться на ошибках чужих, как делают умные люди. 
Прилагаю снимок сделанный еще в стационаре через 2 недели после операции. 
Кстати, я придерживаюсь мнения проводить шеечный шуруп через calcar - как самый прочный участок, сзади-снизу шейки. Есть мнения что лучше по центру - избежать эксцентрических сил и момента. По-моему трудно определить центр вращения (а может он уже определен) в плече бедра и шейке. Если calcar - это самое прочное место, то скорее всего это и есть центр нагрузки и ось вращения. Идея позиции перед передним кортексом - интересная, требует обдумывания.    
Alexbone
----------- следущая часть -----------
Вложение в формате HTML было извлечено…
URL: http://weborto.net:8080/pipermail/ortho/attachments/20120430/b9b9f197/attachment-0001.htm 
----------- следущая часть -----------
Вложение не в текстовом формате было извлечено…
Имя     : 50289101.jpg
Тип     : image/jpg
Размер  : 38160 байтов
Описание: отсутствует
Url     : http://weborto.net:8080/pipermail/ortho/attachments/20120430/b9b9f197/attachment-0001.jpg 


Подробная информация о списке рассылки Ortho