[Ortho] Старый знакомый DHS

Alexbone orthoforum на weborto.net
Пн Апр 30 17:52:26 YEKST 2012


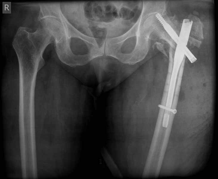
Сеньоры-пэры ревизировали гвоздем, шуруп поставили по той же дорожке, только поглубже. Да еще и bone graft не пожалели. "Результат" уже был через 2 дня.
Если сохранять головку - думаю надо было в валгусе фиксировать перелом гвоздем, или DCS, т.к. все-равно разрезали, чтоб достать DHS. 
Как фиксировать дальше?
Alexbone
----------- следущая часть -----------
Вложение в формате HTML было извлечено…
URL: http://weborto.net:8080/pipermail/ortho/attachments/20120430/8141396b/attachment-0001.htm 
----------- следущая часть -----------
Вложение не в текстовом формате было извлечено…
Имя     : 50699107.jpg
Тип     : image/jpg
Размер  : 30234 байтов
Описание: отсутствует
Url     : http://weborto.net:8080/pipermail/ortho/attachments/20120430/8141396b/attachment-0001.jpg 


Подробная информация о списке рассылки Ortho