[Ortho] Ложный сустав вертельной области и с/з диафиза бедра

"Абдурашид" orthoforum на weborto.net
Чт Авг 30 23:48:24 YEKST 2012


 Извините коллеги , что так долго.

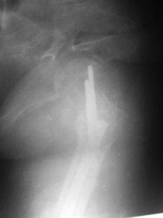
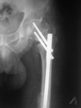
 ЭОП унас нет, больной оперирован тогда, 35 дней назад, во время наркоза определена патологическая подвижность в вертельной обл, поэтому произведена  
остеотомия с исправлением угла, антеградный БИОС ,универсальный стержень ChM. Рентген снимки свежие фас и аксиальная. Пациент ходит с двумя костылями, ногу частично нагружает, лежа выпрямленную ногу поднимает.

 С уважением Абдурашид.
----------- следущая часть -----------
Вложение в формате HTML было извлечено…
URL: http://weborto.net:8080/pipermail/ortho/attachments/20120830/0467ac52/attachment-0001.html 
----------- следущая часть -----------
Вложение не в текстовом формате было извлечено…
Имя     : 2012-08-29-353.jpg
Тип     : image/jpg
Размер  : 23650 байтов
Описание: отсутствует
Url     : http://weborto.net:8080/pipermail/ortho/attachments/20120830/0467ac52/attachment-0002.jpg 
----------- следущая часть -----------
Вложение не в текстовом формате было извлечено…
Имя     : 2012-08-29-352 - ЛПРЙС.jpg
Тип     : image/jpg
Размер  : 25053 байтов
Описание: отсутствует
Url     : http://weborto.net:8080/pipermail/ortho/attachments/20120830/0467ac52/attachment-0003.jpg 


Подробная информация о списке рассылки Ortho