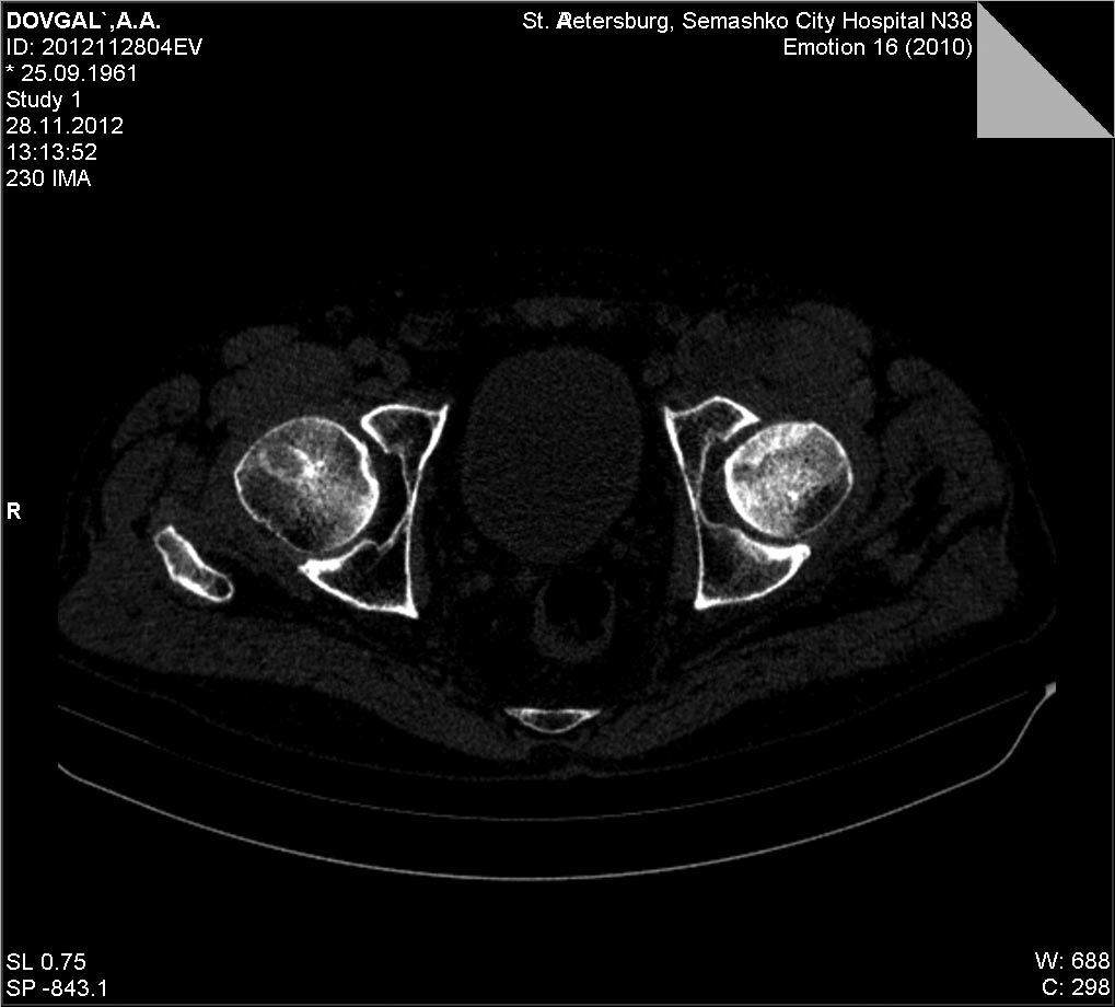
[Ortho] Импрессионный перелом головки бедренной кости

"Данилов Евгений" orthoforum на weborto.net
Вс Дек 2 13:08:30 YEKT 2012


КТ
Данилов Евгений
----------- следущая часть -----------
Вложение в формате HTML было извлечено…
URL: http://weborto.net:8080/pipermail/ortho/attachments/20121202/e5009fb8/attachment-0001.htm 
----------- следущая часть -----------
Вложение не в текстовом формате было извлечено…
Имя     : 0601D9E1.jpg
Тип     : image/jpg
Размер  : 97769 байтов
Описание: отсутствует
Url     : http://weborto.net:8080/pipermail/ortho/attachments/20121202/e5009fb8/attachment-0002.jpg 
----------- следущая часть -----------
Вложение не в текстовом формате было извлечено…
Имя     : 05FD4209.jpg
Тип     : image/jpg
Размер  : 149254 байтов
Описание: отсутствует
Url     : http://weborto.net:8080/pipermail/ortho/attachments/20121202/e5009fb8/attachment-0003.jpg 


Подробная информация о списке рассылки Ortho