[Ortho] Hallux Valgus (оперированный)

"Бережной Сергей" orthoforum на weborto.net
Вс Дек 2 14:09:01 YEKT 2012


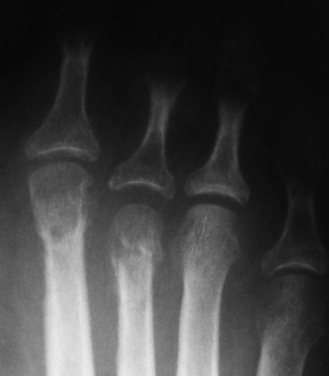
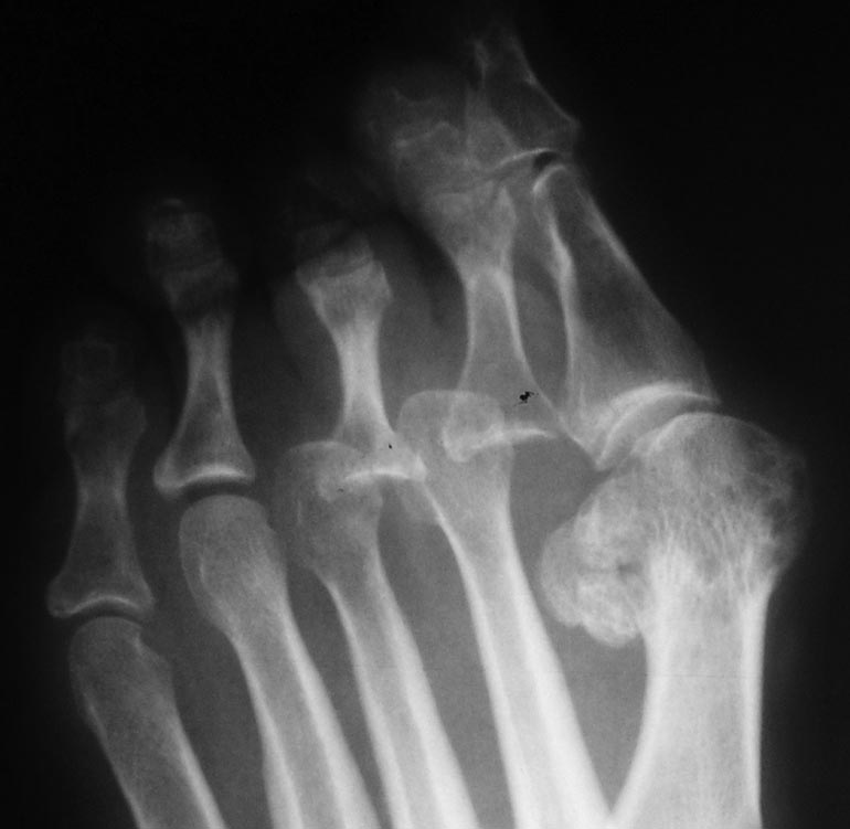
Нефиксированный Вейль значит без фиксации винтами. Заживает по тем же принципам, что и субкапитальные остеотомии в чрескожной хирургии, которые под воздействием ранней нагрузки (обувь с разгрузкой переднего отдела стопы здесь не нужна) находят свое идеальное положение. Только нужно учитывать, что рентгенологическое сращение может больше времени занять и не пугаться этого. На рентгенограммах пример такого Вейля 7-летней давности. Формула, конечно, не соблюдена, но вывихи вправлены без резекций головок.Поскольку уже давно такие операции делаю чрескожно, более свежих примеров нет.
Бережной Сергей
----------- следущая часть -----------
Вложение в формате HTML было извлечено…
URL: http://weborto.net:8080/pipermail/ortho/attachments/20121202/29d86e46/attachment-0001.htm 
----------- следущая часть -----------
Вложение не в текстовом формате было извлечено…
Имя     : 1.jpg
Тип     : image/jpg
Размер  : 50888 байтов
Описание: отсутствует
Url     : http://weborto.net:8080/pipermail/ortho/attachments/20121202/29d86e46/attachment-0002.jpg 
----------- следущая часть -----------
Вложение не в текстовом формате было извлечено…
Имя     : 2.jpg
Тип     : image/jpg
Размер  : 47985 байтов
Описание: отсутствует
Url     : http://weborto.net:8080/pipermail/ortho/attachments/20121202/29d86e46/attachment-0003.jpg 


Подробная информация о списке рассылки Ortho