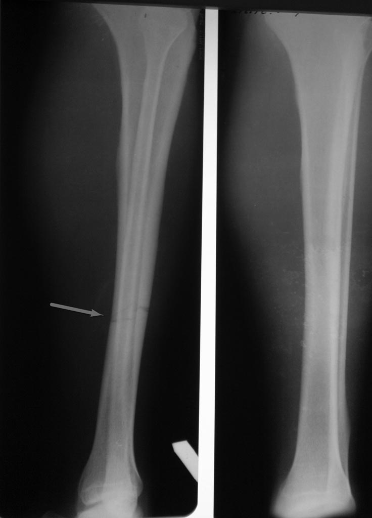
[Ortho] Незавершенный перелом

"Сергей Александрович" orthoforum на weborto.net
Ср Дек 5 00:01:15 YEKT 2012


лет 38
Сергей Александрович
----------- следущая часть -----------
Вложение в формате HTML было извлечено…
URL: http://weborto.net:8080/pipermail/ortho/attachments/20121204/63649b65/attachment-0001.htm 
----------- следущая часть -----------
Вложение не в текстовом формате было извлечено…
Имя     : 0412201214081.jpg
Тип     : image/jpg
Размер  : 47278 байтов
Описание: отсутствует
Url     : http://weborto.net:8080/pipermail/ortho/attachments/20121204/63649b65/attachment-0001.jpg 


Подробная информация о списке рассылки Ortho