[Ortho] Перелом верхней трети костей голени

"Марк" orthoforum на weborto.net
Пн Дек 10 17:33:03 YEKT 2012


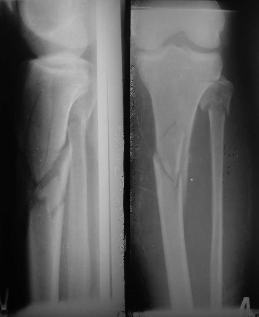
День добрый выбран метод лечения мос латеральрой пластиной 

ваше мнение ? Целесообразно-ли использование второй стабилизирующей пластины?Прошу вас, ответьте на это сообщение в кротчайшие сроки. Очень нужна ваша помощь.
Марк
Травматология
----------- следущая часть -----------
Вложение не в текстовом формате было извлечено…
Имя     : IMG_1469.JPG
Тип     : image/jpg
Размер  : 43548 байтов
Описание: отсутствует
Url     : http://weborto.net:8080/pipermail/ortho/attachments/20121210/f6d8780b/attachment-0001.jpg 


Подробная информация о списке рассылки Ortho