[Ortho] протез или синтез?

Sergio Rowinski orthoforum на weborto.net
Пн Дек 10 17:50:52 YEKT 2012


1) This a chronic, 4-part anterior fracture dislocation. How do I know it is anterior, and not posterior, only with a plain AP X-ray ??

Because posterior dislocations do not behave this way, radiographically, believe me. Also, there MAY be an A-C TYPE V dislocation in this shoulder ... But. let's forget that, now ...

2) What is the "personality" of the fracture ????

Well, the patient is a young female, 26 years, who, unfortunately, had this severe problem NOT properly diagnosed. 

So, she is young, very young. She needs the best we can give. 

3) Do we need more exams to establish the diagnosis ??? NO. 


4) Do we need more exams to better comprehend the lesion, and to better elaborate our surgical plan ??? SURE. 

A CT would be very nice, to better understand the fracture, now. 

An MRI is mandatory . WHY ???

for us to see the state of the cuff 
for us to to see the viability (AVN) of the humeral head 

5) But, regardless of all the "disgraces", I would try to reconstruct that. An arthroplasty in such a young patient is already a "disgrace" itself, so I would try to mount that. 

6) There is a lot of "heterotopic ossification" around GT, to get things more difficult ...

7) How to operate ????


beach chair position 
a classical delto-pec approach (axillary approach), extended as needed - NO COSMETIC ISSUES, here, in spite of patient being a young female 
opening of delto-pec interval 
identification of humeral head - at this point, surgeon must remember that some neurovascular structures may be close to head, so A LOT OF CARE is needed, to dissect at that part. 
before reducting humeral head, surgeon must identify GT and LT, and perform strong N 5 Ethibond whipstitches in GT and in LT - a lot of scary tissue shall be there...
with LT and GT well identified and isolated, then surgeon must reduce head 
I would, for sure, use a tricortical iliac graft, between diaphysis and head
With a good PHILOS, surgeon must re-establish the best cephalic-diaphyseal angle (head-shaft relation) he can, and fix that
GT and LT shall be fixed with bony sutures, in usual fashion 
a biceps tenodesis MUST be done, here

8) What about prognosis ???? Well, quite unpredictable, regardless of a hard, long lasting surgery.

What about AVN ???? Well, technically, 100 % chance, but some patients adapt to that, because shoulder is not a hip ...


9) I would try to do that, and I would prepare my mind for the good and the bad ... 



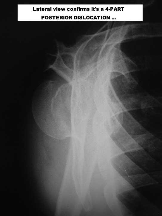
Here are some photos, of chronic, locked, 4 part posterior dislocation, 2 months old, that I did September/2011. Patient is 67, very, very active - had a really reasonable, honest clinical result ... 

Photos attached ...


Dr Sergio Rowinski
Orthopedic Surgeon
Shoulder & Elbow Surgery
São Paulo, Brazil
----------- следущая часть -----------
Вложение в формате HTML было извлечено…
URL: http://weborto.net:8080/pipermail/ortho/attachments/20121210/fece4046/attachment-0001.htm 
----------- следущая часть -----------
Вложение не в текстовом формате было извлечено…
Имя     : M11.jpg
Тип     : image/jpg
Размер  : 66809 байтов
Описание: отсутствует
Url     : http://weborto.net:8080/pipermail/ortho/attachments/20121210/fece4046/attachment-0012.jpg 
----------- следущая часть -----------
Вложение не в текстовом формате было извлечено…
Имя     : M05.jpg
Тип     : image/jpg
Размер  : 45565 байтов
Описание: отсутствует
Url     : http://weborto.net:8080/pipermail/ortho/attachments/20121210/fece4046/attachment-0013.jpg 
----------- следущая часть -----------
Вложение не в текстовом формате было извлечено…
Имя     : M01.jpg
Тип     : image/jpg
Размер  : 32128 байтов
Описание: отсутствует
Url     : http://weborto.net:8080/pipermail/ortho/attachments/20121210/fece4046/attachment-0014.jpg 
----------- следущая часть -----------
Вложение не в текстовом формате было извлечено…
Имя     : M12.jpg
Тип     : image/jpg
Размер  : 57383 байтов
Описание: отсутствует
Url     : http://weborto.net:8080/pipermail/ortho/attachments/20121210/fece4046/attachment-0015.jpg 
----------- следущая часть -----------
Вложение не в текстовом формате было извлечено…
Имя     : M06.jpg
Тип     : image/jpg
Размер  : 61761 байтов
Описание: отсутствует
Url     : http://weborto.net:8080/pipermail/ortho/attachments/20121210/fece4046/attachment-0016.jpg 
----------- следущая часть -----------
Вложение не в текстовом формате было извлечено…
Имя     : M02.jpg
Тип     : image/jpg
Размер  : 33005 байтов
Описание: отсутствует
Url     : http://weborto.net:8080/pipermail/ortho/attachments/20121210/fece4046/attachment-0017.jpg 
----------- следущая часть -----------
Вложение не в текстовом формате было извлечено…
Имя     : M07.jpg
Тип     : image/jpg
Размер  : 68113 байтов
Описание: отсутствует
Url     : http://weborto.net:8080/pipermail/ortho/attachments/20121210/fece4046/attachment-0018.jpg 
----------- следущая часть -----------
Вложение не в текстовом формате было извлечено…
Имя     : M03.jpg
Тип     : image/jpg
Размер  : 44181 байтов
Описание: отсутствует
Url     : http://weborto.net:8080/pipermail/ortho/attachments/20121210/fece4046/attachment-0019.jpg 
----------- следущая часть -----------
Вложение не в текстовом формате было извлечено…
Имя     : M08.jpg
Тип     : image/jpg
Размер  : 107925 байтов
Описание: отсутствует
Url     : http://weborto.net:8080/pipermail/ortho/attachments/20121210/fece4046/attachment-0020.jpg 
----------- следущая часть -----------
Вложение не в текстовом формате было извлечено…
Имя     : M10.jpg
Тип     : image/jpg
Размер  : 62426 байтов
Описание: отсутствует
Url     : http://weborto.net:8080/pipermail/ortho/attachments/20121210/fece4046/attachment-0021.jpg 
----------- следущая часть -----------
Вложение не в текстовом формате было извлечено…
Имя     : M04.jpg
Тип     : image/jpg
Размер  : 51960 байтов
Описание: отсутствует
Url     : http://weborto.net:8080/pipermail/ortho/attachments/20121210/fece4046/attachment-0022.jpg 
----------- следущая часть -----------
Вложение не в текстовом формате было извлечено…
Имя     : M09.jpg
Тип     : image/jpg
Размер  : 49585 байтов
Описание: отсутствует
Url     : http://weborto.net:8080/pipermail/ortho/attachments/20121210/fece4046/attachment-0023.jpg 


Подробная информация о списке рассылки Ortho