[Ortho] Перелом верхней трети костей голени

Djoldas Kuldjanov orthoforum на weborto.net
Вт Дек 11 22:41:12 YEKT 2012


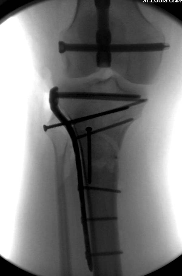
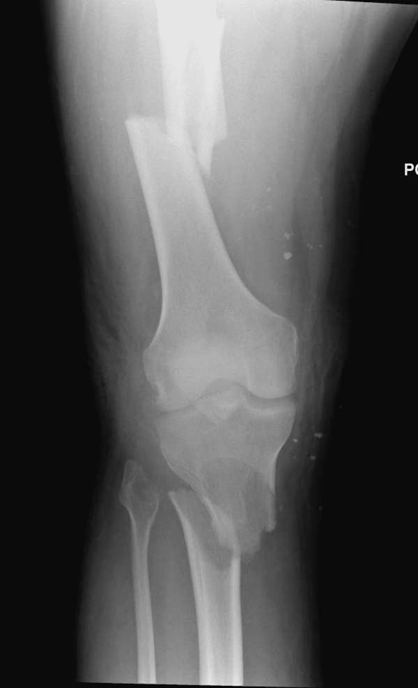
Здесь, кроме перелома верхней трети голени, имеется вовлечение сустава, и, чтобы не пропустить смещение суставной поверхности, надо делать КТ. Срезы КТ покажут о необходимости субхондральной фиксации, которая проводится 3.5 мм параллельными шурупами (Raft technique). Не имеет значения, как проводить: отдельно субхондрально или через верхний ряд пластины. Главная задача фиксации удержать суставную поверхность от коллапса в вальгус или варус.

Фактически все компании выпускают проксимальные с угловой стабильностью пластины. Можно от DePuy, потому что у них имеются различные варианты преконтурированных пластин, подходящих для любой голени. http://www.biomet.com/traumaTransition/fileLibrary/BMET0001.0ALPSProxTibia.pdf

Кроме этого, у них имеются более толстые полиаксиальные, но в данном случае это не имеет значения, потому ято в любом варианте нагрузку можно разрешить только после 10-12 недели. http://www.biomet.com/traumaTransition/products/platesScrews/polyaxPeriarticularPlatingSystem.cfm#overview

Здесь случай, так называемого floating knee перелома выше и ниже коленного сустава.


Djoldas Kuldjanov, M.D.
----------- следущая часть -----------
Вложение не в текстовом формате было извлечено…
Имя     : 6 Proximal tibia injury pelvis.JPG
Тип     : image/jpg
Размер  : 36764 байтов
Описание: отсутствует
Url     : http://weborto.net:8080/pipermail/ortho/attachments/20121211/356dd6ef/attachment-0006.jpg 
----------- следущая часть -----------
Вложение не в текстовом формате было извлечено…
Имя     : 4 Proximal tibia injury knee.JPG
Тип     : image/jpg
Размер  : 33976 байтов
Описание: отсутствует
Url     : http://weborto.net:8080/pipermail/ortho/attachments/20121211/356dd6ef/attachment-0007.jpg 
----------- следущая часть -----------
Вложение не в текстовом формате было извлечено…
Имя     : 1 Proximal tibia injury.JPG
Тип     : image/jpg
Размер  : 40097 байтов
Описание: отсутствует
Url     : http://weborto.net:8080/pipermail/ortho/attachments/20121211/356dd6ef/attachment-0008.jpg 
----------- следущая часть -----------
Вложение не в текстовом формате было извлечено…
Имя     : 3 Proximal tibia injury knee.JPG
Тип     : image/jpg
Размер  : 23038 байтов
Описание: отсутствует
Url     : http://weborto.net:8080/pipermail/ortho/attachments/20121211/356dd6ef/attachment-0009.jpg 
----------- следущая часть -----------
Вложение не в текстовом формате было извлечено…
Имя     : 2 Proximal tibia injury.jpg
Тип     : image/jpg
Размер  : 36724 байтов
Описание: отсутствует
Url     : http://weborto.net:8080/pipermail/ortho/attachments/20121211/356dd6ef/attachment-0010.jpg 
----------- следущая часть -----------
Вложение не в текстовом формате было извлечено…
Имя     : 5 Proximal tibia injury pelvis.JPG
Тип     : image/jpg
Размер  : 33341 байтов
Описание: отсутствует
Url     : http://weborto.net:8080/pipermail/ortho/attachments/20121211/356dd6ef/attachment-0011.jpg 


Подробная информация о списке рассылки Ortho