[Ortho] Уважаемые коллеги, помогите определиться с тактикой лечения

"Юрий Р." orthoforum на weborto.net
Ср Фев 8 01:17:51 YEKT 2012


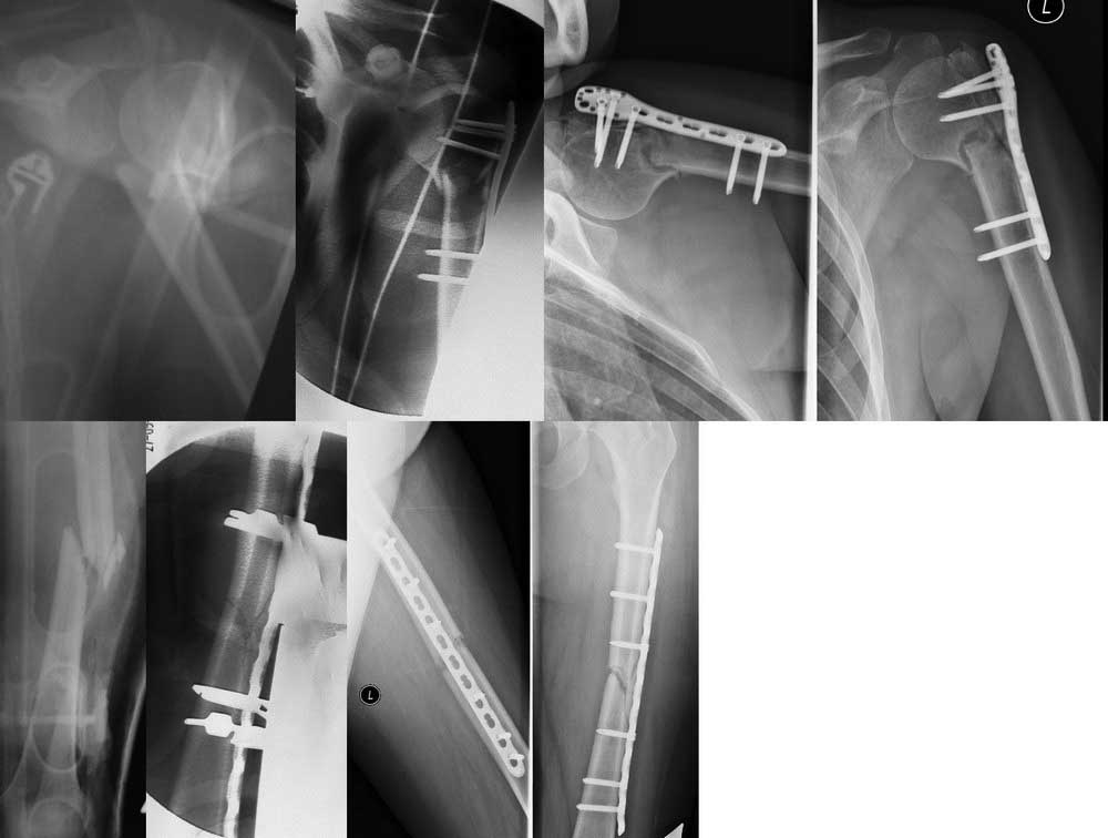
Женщина, 32 года. Травма от 17.09.2011г. в результате ДТП. При обследовании установлен диагноз: Сочетанная травма: ЗЧМТ. Сотрясение головного мозга. Закрытый оскольчатый перелом левой бедренной кости в средней трети со смещением отломков. Закрытый оскольчатый перелом хирургической верхней трети левой плечевой кости со смещением отломков.	

27.09.2011г. выполнены операции: Открытая репозиция, металлоостеосинтез левой бедренной кости пластиной с угловой стабильностью винтов, левой плечевой кости проксимальной плечевой пластиной с угловой стабильностью винтов. Послеоперационный период без особенностей, раны зажили первичным натяжением, швы сняты на 14-е сутки. 
27.11.2012г. выполнен рентгенконтроль, при которым определена положительная динамика консолидации перелома плечевой кости, начала ходить при помощи костылей без опоры на левую нижнюю конечность. На сегодняшний день ходит при помощи костылей с частичной нагрузкой на левую нижнюю конечность. Объём движений в левом коленном суставе восстановился полностью, в левом плечевом суставе сформировалась контрактура. При динамическом рентгеновском контроле определена картина замедленной консолидации.
В данный момент решаем вопрос об оперативном лечении. Сначала думаем выполнить плечо (смена фиксации на проксимальный гвоздь со стягивающими винтами и костной пластикой, либо костная пластика+проксимальная пластина), под той же анестезией выполнить туннелизацию области перелома бедренной кости. Далее по результатам этапного рентгенологического контроля по мере консолидации плечевой кости (и возможности ходить на костылях), в случае отсутствия положительной динамики на рентгенограммах принять решение о БИОС бедренной кости.
Просим поделиться опытом, помочь определиться с тактикой лечения. 

Снимки по хронологии слева направо: при поступлении-интраоперационно-на данный момент
Юрий Р.
----------- следущая часть -----------
Вложение в формате HTML было извлечено…
URL: http://weborto.net:8080/pipermail/ortho/attachments/20120208/c36d0e8c/attachment-0001.htm 
----------- следущая часть -----------
Вложение не в текстовом формате было извлечено…
Имя     : XN.jpg
Тип     : image/jpg
Размер  : 62878 байтов
Описание: отсутствует
Url     : http://weborto.net:8080/pipermail/ortho/attachments/20120208/c36d0e8c/attachment-0001.jpg 


Подробная информация о списке рассылки Ortho