[Ortho] лизис локтевой кости после МОС.

"Ю.В." orthoforum на weborto.net
Чт Фев 16 03:30:10 YEKT 2012


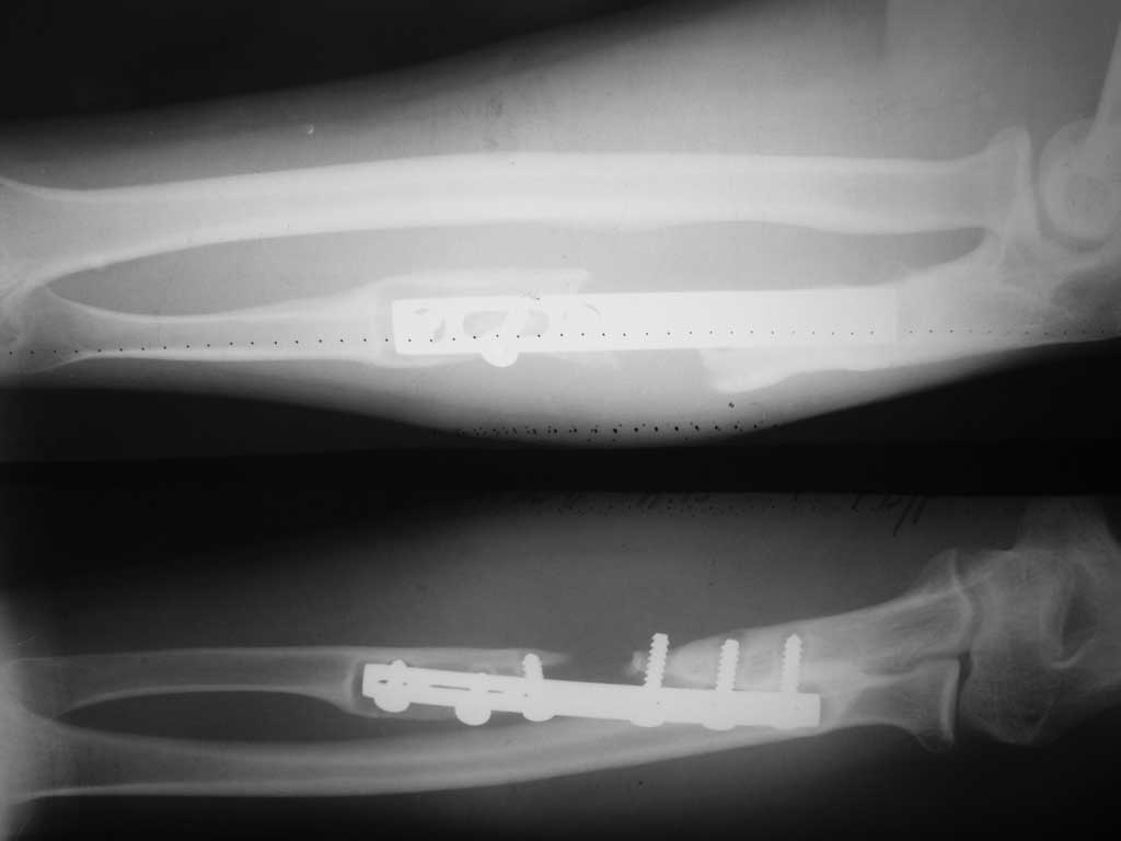
Уважаемые коллеги прошу Вашего совета.Больной 33 лет прооперирован 2 года назад.
Предыдущих снимков нет. Планирую резекция кости в пределах до здоровой кости с замещением
дефекта тутопластом с МОС пластиной с блокируемыми винтами.


Ю.В.
----------- следущая часть -----------
Вложение не в текстовом формате было извлечено…
Имя     : P1060122.JPG
Тип     : image/jpg
Размер  : 33088 байтов
Описание: отсутствует
Url     : http://weborto.net:8080/pipermail/ortho/attachments/20120216/28072774/attachment-0001.jpg 


Подробная информация о списке рассылки Ortho