[Ortho] Несращение перелома н\3 б\берцовой кости (ложный сустав)

"Андрей Мелёшкин" orthoforum на weborto.net
Чт Фев 16 12:42:24 YEKT 2012


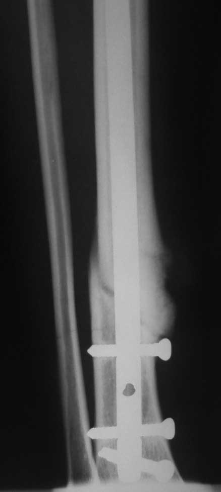
Пациентка проперирована в марте 2011 года. На Р-граммах несращение. Пробывали давать
нагрузку - появлялись боли в области перелома, опять разгрузка...

 Сейчас поступила в стационар. Думаем что делать. Можно конечно убрать стержень и сделать повторный
синтез пластиной с пластикой по Хохутову. Интересна альтернатива!? Все винты в стержне -
статические (проксимально - 2, дистально - 3)
Андрей  Мелёшкин


----------- следущая часть -----------
Вложение в формате HTML было извлечено…
URL: http://weborto.net:8080/pipermail/ortho/attachments/20120216/93ba715c/attachment-0001.htm 
----------- следущая часть -----------
Вложение не в текстовом формате было извлечено…
Имя     : image001.jpg
Тип     : image/jpg
Размер  : 28370 байтов
Описание: отсутствует
Url     : http://weborto.net:8080/pipermail/ortho/attachments/20120216/93ba715c/attachment-0002.jpg 
----------- следущая часть -----------
Вложение не в текстовом формате было извлечено…
Имя     : image003.jpg
Тип     : image/jpg
Размер  : 30956 байтов
Описание: отсутствует
Url     : http://weborto.net:8080/pipermail/ortho/attachments/20120216/93ba715c/attachment-0003.jpg 


Подробная информация о списке рассылки Ortho