[Ortho] Результат эндопротезирования

"Травматолог из района" orthoforum на weborto.net
Вс Фев 26 20:44:53 YEKT 2012


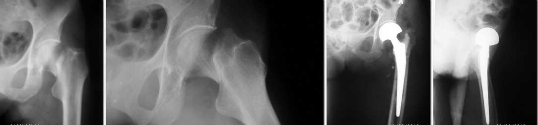
Уважаемые коллеги. Поделитесь опытом... Имеем в отделении вот такой результат
эндопротезирования. Какие рекомендации для больной в дальнейшем и чего следует ожидать при
такой рентгенологической картине? Пациентке 76 лет, вес около 50 кг, операция через 5 недель
после травмы.
Травматолог из района
----------- следущая часть -----------
Вложение в формате HTML было извлечено…
URL: http://weborto.net:8080/pipermail/ortho/attachments/20120226/cc87a1c2/attachment-0003.htm 
----------- следущая часть -----------
Вложение не в текстовом формате было извлечено…
Имя     : мЕОФБ РТПФЕЪ.jpg
Тип     : image/jpg
Размер  : 25060 байтов
Описание: отсутствует
Url     : http://weborto.net:8080/pipermail/ortho/attachments/20120226/cc87a1c2/attachment-0003.jpg 


Подробная информация о списке рассылки Ortho