[Ortho] Неудачный результат

Игорь Кучерявый harrykuch на gmail.com
Чт Янв 5 02:01:00 YEKT 2012


4 января 2012 г. 19:56 пользователь Исмаил Дибиров
<ismail-dibirov на mail.ru>написал:

>
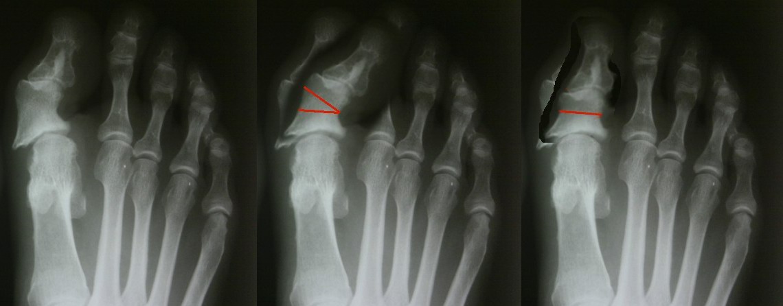
> Что можно предложить?
>

Если оперировать в фотошопе, то в принципе можно предложить е


-- 
С уважением,
Кучерявый Игорь,
г. Сергиев Посад.
Сайт: http://traumatolog.zagorsk.ru
E-mail: harrykuch на gmail.com
ICQ #  328 115 017 Skype: harrykuch
рабочий телефон: +7 496 542 22 00;
сотовый телефон: +7 926 575 08 55.
----------- следущая часть -----------
Вложение в формате HTML было извлечено&hellip;
URL: http://weborto.net:8080/pipermail/ortho/attachments/20120105/b29b8f60/attachment-0001.htm 
----------- следущая часть -----------
Вложение не в текстовом формате было извлечено&hellip;
Имя     : St.jpg
Тип     : image/jpeg
Размер  : 74062 байтов
Описание: отсутствует
Url     : http://weborto.net:8080/pipermail/ortho/attachments/20120105/b29b8f60/attachment-0001.jpg 


Подробная информация о списке рассылки Ortho