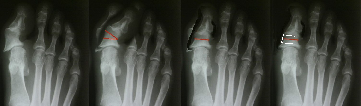
[Ortho] Неудачный результат

Игорь Кучерявый harrykuch на gmail.com
Чт Янв 5 02:03:32 YEKT 2012


-- 
С уважением,
Кучерявый Игорь,
г. Сергиев Посад.
----------- следущая часть -----------
Вложение не в текстовом формате было извлечено…
Имя     : St.jpg
Тип     : image/jpeg
Размер  : 98987 байтов
Описание: отсутствует
Url     : http://weborto.net:8080/pipermail/ortho/attachments/20120105/871940e6/attachment-0001.jpg 


Подробная информация о списке рассылки Ortho