[Ortho] Перелом проксимального конца бедренной кости при сочетанной травма - тактика лечения

"Бережной Сергей" orthoforum на weborto.net
Сб Янв 14 21:51:05 YEKT 2012


Уважаемые коллеги. Прошу поделиться мнениями относительно хирургического лечения в
представляемом случае.

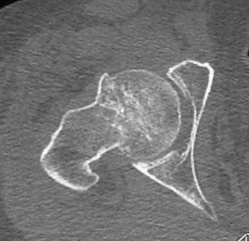
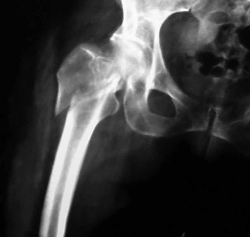
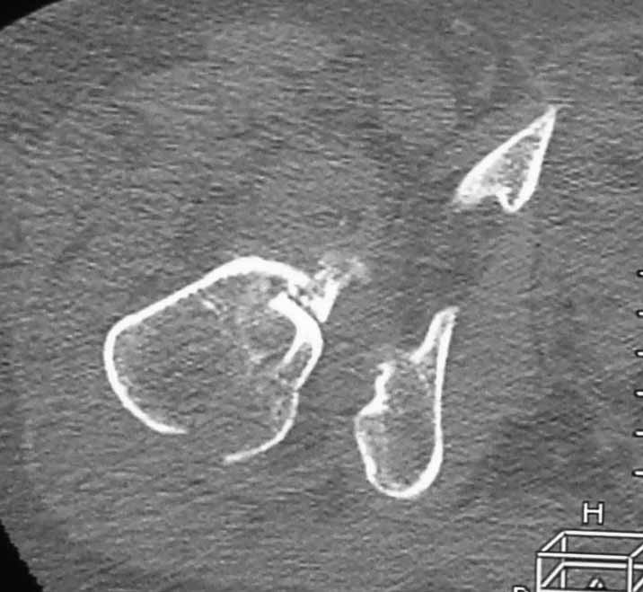
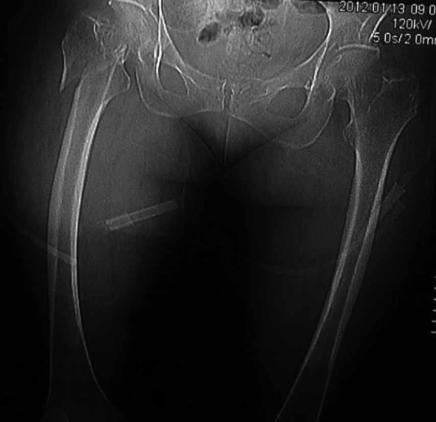
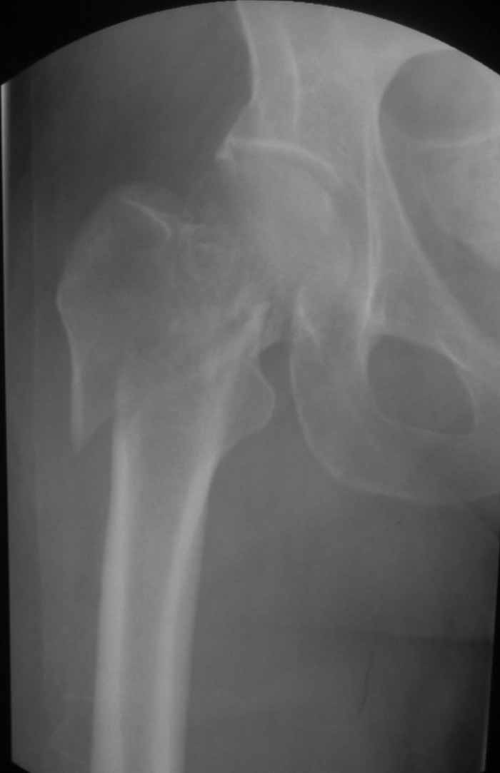
Пациентка 53 лет. ДТП 09.01.12: сочетанная травма: перелом 2-5 ребер справа, ушиб легких;
перелом обеих лонных костей без смещения; закрытый перелом проксимального конца правой
бедренной кости; открытый оскольчатый внутрисуставной перелом проксимальных концов
костей правой голени. 

По месту первичной госпитализации произведена хирургическая обработка раны передней поверхности голени (область бугристости б/берцовой кости), наложено скелетное вытяжение за пятку. 


В нашей клинике 11.01 выполнен минимально инвазивный остеосинтез большеберцовой кости (снимки до операции не перефотографировал) с пластикой перемещенными лоскутами дефекта, образовавшегося вследствие некроза кожи на передней поверхности голени. 


Бедро одномоментно делать не стал, не было уверенности в наличии перелома на уровне шейки. Во время операции смотрел тазобедренный сустав под ЭОПом,
головка неподвижна. После операции повторили КТ, стало очевидно, что имеется субкапитальный перелом. Что делать, остесинтез или протезирование? Если остеосинтез, то чем? Заранее благодарен за советы.
Бережной Сергей



----------- следущая часть -----------
Вложение в формате HTML было извлечено…
URL: http://weborto.net:8080/pipermail/ortho/attachments/20120114/d89ace6b/attachment-0001.htm 
----------- следущая часть -----------
Вложение не в текстовом формате было извлечено…
Имя     : image001.jpg
Тип     : image/jpg
Размер  : 28849 байтов
Описание: отсутствует
Url     : http://weborto.net:8080/pipermail/ortho/attachments/20120114/d89ace6b/attachment-0014.jpg 
----------- следущая часть -----------
Вложение не в текстовом формате было извлечено…
Имя     : image003.jpg
Тип     : image/jpg
Размер  : 21705 байтов
Описание: отсутствует
Url     : http://weborto.net:8080/pipermail/ortho/attachments/20120114/d89ace6b/attachment-0015.jpg 
----------- следущая часть -----------
Вложение не в текстовом формате было извлечено…
Имя     : image005.jpg
Тип     : image/jpg
Размер  : 37499 байтов
Описание: отсутствует
Url     : http://weborto.net:8080/pipermail/ortho/attachments/20120114/d89ace6b/attachment-0016.jpg 
----------- следущая часть -----------
Вложение не в текстовом формате было извлечено…
Имя     : image007.jpg
Тип     : image/jpg
Размер  : 30924 байтов
Описание: отсутствует
Url     : http://weborto.net:8080/pipermail/ortho/attachments/20120114/d89ace6b/attachment-0017.jpg 
----------- следущая часть -----------
Вложение не в текстовом формате было извлечено…
Имя     : image009.jpg
Тип     : image/jpg
Размер  : 67712 байтов
Описание: отсутствует
Url     : http://weborto.net:8080/pipermail/ortho/attachments/20120114/d89ace6b/attachment-0018.jpg 
----------- следущая часть -----------
Вложение не в текстовом формате было извлечено…
Имя     : image011.jpg
Тип     : image/jpg
Размер  : 26884 байтов
Описание: отсутствует
Url     : http://weborto.net:8080/pipermail/ortho/attachments/20120114/d89ace6b/attachment-0019.jpg 
----------- следущая часть -----------
Вложение не в текстовом формате было извлечено…
Имя     : image013.jpg
Тип     : image/jpg
Размер  : 24611 байтов
Описание: отсутствует
Url     : http://weborto.net:8080/pipermail/ortho/attachments/20120114/d89ace6b/attachment-0020.jpg 
----------- следущая часть -----------
Вложение не в текстовом формате было извлечено…
Имя     : image015.jpg
Тип     : image/jpg
Размер  : 38070 байтов
Описание: отсутствует
Url     : http://weborto.net:8080/pipermail/ortho/attachments/20120114/d89ace6b/attachment-0021.jpg 
----------- следущая часть -----------
Вложение не в текстовом формате было извлечено…
Имя     : image017.jpg
Тип     : image/jpg
Размер  : 38559 байтов
Описание: отсутствует
Url     : http://weborto.net:8080/pipermail/ortho/attachments/20120114/d89ace6b/attachment-0022.jpg 
----------- следущая часть -----------
Вложение не в текстовом формате было извлечено…
Имя     : image019.jpg
Тип     : image/jpg
Размер  : 46985 байтов
Описание: отсутствует
Url     : http://weborto.net:8080/pipermail/ortho/attachments/20120114/d89ace6b/attachment-0023.jpg 
----------- следущая часть -----------
Вложение не в текстовом формате было извлечено…
Имя     : image021.jpg
Тип     : image/jpg
Размер  : 34336 байтов
Описание: отсутствует
Url     : http://weborto.net:8080/pipermail/ortho/attachments/20120114/d89ace6b/attachment-0024.jpg 
----------- следущая часть -----------
Вложение не в текстовом формате было извлечено…
Имя     : image023.jpg
Тип     : image/jpg
Размер  : 42290 байтов
Описание: отсутствует
Url     : http://weborto.net:8080/pipermail/ortho/attachments/20120114/d89ace6b/attachment-0025.jpg 
----------- следущая часть -----------
Вложение не в текстовом формате было извлечено…
Имя     : image025.jpg
Тип     : image/jpg
Размер  : 48689 байтов
Описание: отсутствует
Url     : http://weborto.net:8080/pipermail/ortho/attachments/20120114/d89ace6b/attachment-0026.jpg 
----------- следущая часть -----------
Вложение не в текстовом формате было извлечено…
Имя     : image027.jpg
Тип     : image/jpg
Размер  : 37438 байтов
Описание: отсутствует
Url     : http://weborto.net:8080/pipermail/ortho/attachments/20120114/d89ace6b/attachment-0027.jpg 


Подробная информация о списке рассылки Ortho