[Ortho] Патело-феморальный синдром

"Батал Шушания" orthoforum на weborto.net
Чт Янв 19 01:48:50 YEKT 2012


Пациент, мужчина, 45 лет. В 1982 году получил закрытый перелом диафиза бедренной кости
справа. Результат консервативного лечения-варусная деформация бедренной кости. 

В 1987 году выполнена вальгусная корригирующая остеотомия на уровне дистального эпифиза
бедренной кости: варус бедренной кости нивелирован. Но в процессе лечения сформировалась
выраженная контрактура в правом коленном суставе. Производилось 2 раза агрессивная
разработка правого коленного сустава в аппарате типа Илизарова. 


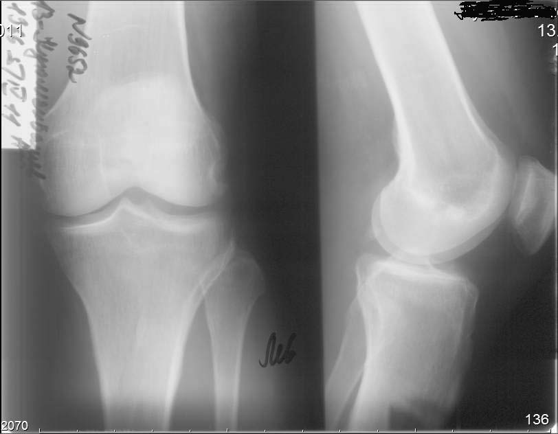
В настоящее время беспокоят боли в области правого надколенника, при длительной ходьбе появляется ощущение
скованности в 4-х главой мышце бедра, при отрыве правой стопы, голень и стопа как бы
выбрасывается вперед (пациент, при этом, процесс разгибания в коленном суставе плохо
контролирует). Правый коленный сустав внешне не деформирован, не отечен. Объем движений:
сгибание до 90 градусов (до прямого угла, разгибание полное_180 гр. Сустав стабилен во всех
плоскостях. Надколенник расположен практически на уровне суставной щели
(тибиа-феморальной), малоподвижен, так называемая ╚ игра надколенника ╩ у пациента резко
снижена . 

Пациент поступил в наше отделение для выполнения операции в объеме
эндопротезирования правого коленного сустава. Однако, оценив коленный сустав, мы
засомневались в необходимости данной операции этому пациенту. В данном случае , низкое
стояние дегенеративно измененного правого надколенника нарушает функцию
разгибательного аппарата правого коленного сустава и основная причина сосредоточена
здесь, в надколеннике (по нашему мнению). У меня вопрос к коллегам: как деликатно, на нарушая
разгибательный аппарат, помочь пациенту? Какие виды реконструктивных операции
предпочтительны. 

С уважением Шушания Батал, ФБУ 3 ЦВКГ имени А А Вишневского
Батал  Шушания
----------- следущая часть -----------
Вложение в формате HTML было извлечено…
URL: http://weborto.net:8080/pipermail/ortho/attachments/20120119/68634b3a/attachment-0001.htm 
----------- следущая часть -----------
Вложение не в текстовом формате было извлечено…
Имя     : 774.jpg
Тип     : image/jpg
Размер  : 41105 байтов
Описание: отсутствует
Url     : http://weborto.net:8080/pipermail/ortho/attachments/20120119/68634b3a/attachment-0003.jpg 
----------- следущая часть -----------
Вложение не в текстовом формате было извлечено…
Имя     : left knee.jpg
Тип     : image/jpg
Размер  : 40871 байтов
Описание: отсутствует
Url     : http://weborto.net:8080/pipermail/ortho/attachments/20120119/68634b3a/attachment-0004.jpg 
----------- следущая часть -----------
Вложение не в текстовом формате было извлечено…
Имя     : right knee.jpg
Тип     : image/jpg
Размер  : 68043 байтов
Описание: отсутствует
Url     : http://weborto.net:8080/pipermail/ortho/attachments/20120119/68634b3a/attachment-0005.jpg 


Подробная информация о списке рассылки Ortho