[Ortho] Фрагментарный перелом большеберцовой кости

"Николов Олег" orthoforum на weborto.net
Пт Янв 27 20:36:40 YEKT 2012


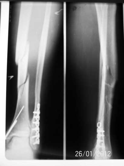
Уважаемые коллеги! Пациент 48-ми лет. Травма в результате падения с высоты собственного
роста. В анамнезе 2 года назад перелом нарудной и внутренней лодыжек - остеосинтез, в течение
полугода периодически лигатурные свищи в области наружной лодыжки, лигатурный свищ при
поступлении. На наш взгляд БИОС в данном случае оптимален, однако появилась и
противоположная точка зрения - о необходимости открытой репозиции и синтеза пластиной.
Появятся ли сторонники ORIF, и если можно с аргументацией преимущества метода. Ждем ваших
мнений.
Николов Олег
----------- следущая часть -----------
Вложение в формате HTML было извлечено…
URL: http://weborto.net:8080/pipermail/ortho/attachments/20120127/036b115e/attachment-0001.htm 
----------- следущая часть -----------
Вложение не в текстовом формате было извлечено…
Имя     : 5.jpg
Тип     : image/jpg
Размер  : 27539 байтов
Описание: отсутствует
Url     : http://weborto.net:8080/pipermail/ortho/attachments/20120127/036b115e/attachment-0001.jpg 


Подробная информация о списке рассылки Ortho