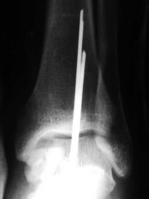
[Ortho] Переломовывих таранной кости

Metalurg orthoforum на weborto.net
Пт Янв 27 12:49:35 YEKT 2012


Прямая проекция
Metalurg
----------- следущая часть -----------
Вложение в формате HTML было извлечено…
URL: http://weborto.net:8080/pipermail/ortho/attachments/20120127/7adb01da/attachment-0001.htm 
----------- следущая часть -----------
Вложение не в текстовом формате было извлечено…
Имя     : SNC00404.jpg
Тип     : image/jpg
Размер  : 31264 байтов
Описание: отсутствует
Url     : http://weborto.net:8080/pipermail/ortho/attachments/20120127/7adb01da/attachment-0001.jpg 


Подробная информация о списке рассылки Ortho