[Ortho] Переломовывих таранной кости

Oleksiy Ladyzhev ladyzhev на gmail.com
Пн Янв 30 16:27:03 YEKT 2012


Да, видимо, это чрезкожная фиксация спицами... у меня тоже только"??????"

С наилучшими пожеланиями,
Алексей Ладыжев

г.Славутич, Украина


28 января 2012 г. 19:11 пользователь Alexey Semenisty
<salut.13 на gmail.com>написал:

> ???????????????????????????????????????????????????????????????!
>
> 27 января 2012 г. 11:49 пользователь Metalurg <orthoforum на weborto.net>написал:
>
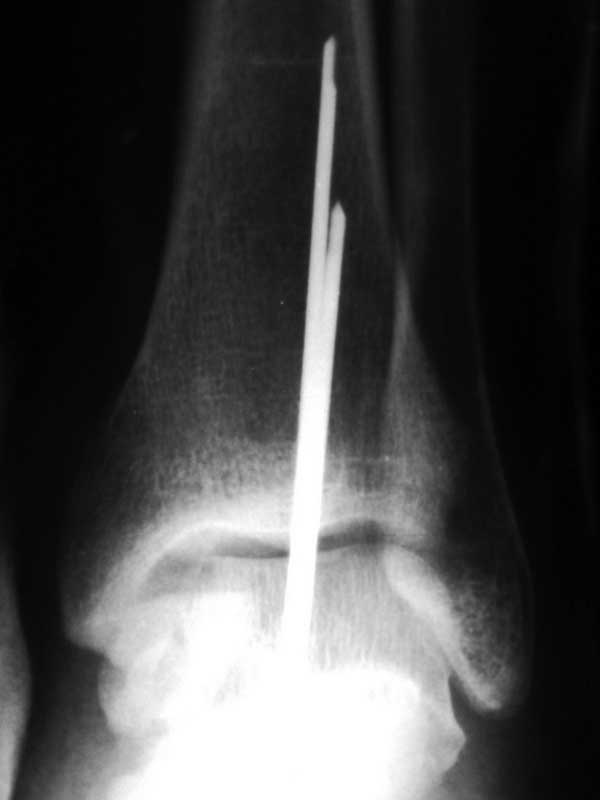
>> Прямая проекция
>> Metalurg
>>
>> _______________________________________________
>> Ortho mailing list
>> Ortho на weborto.net
>> http://weborto.net:8080/mailman/listinfo/ortho
>>
>>
>
>
> --
> С уважением, А.Семенистый.
> ГКБ No. 13, Москва.
>
> _______________________________________________
> Ortho mailing list
> Ortho на weborto.net
> http://weborto.net:8080/mailman/listinfo/ortho
>
>
----------- следущая часть -----------
Вложение в формате HTML было извлечено&hellip;
URL: http://weborto.net:8080/pipermail/ortho/attachments/20120130/bf55dd29/attachment-0001.htm 
----------- следущая часть -----------
Вложение не в текстовом формате было извлечено&hellip;
Имя     : отсутствует
Тип     : image/jpg
Размер  : 31264 байтов
Описание: отсутствует
Url     : http://weborto.net:8080/pipermail/ortho/attachments/20120130/bf55dd29/attachment-0001.jpg 


Подробная информация о списке рассылки Ortho