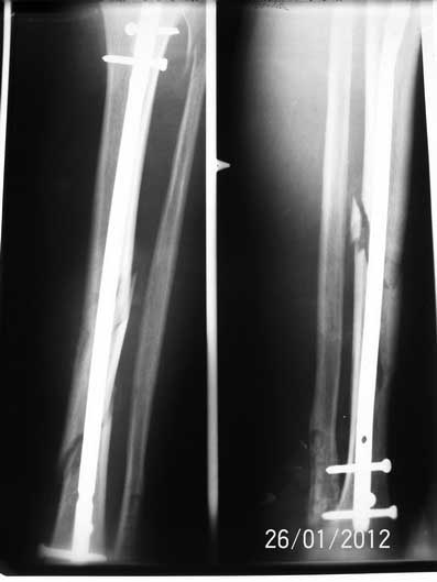
[Ortho] Фрагментарный перелом большеберцовой кости

"Николов Олег" orthoforum на weborto.net
Пн Янв 30 20:01:38 YEKT 2012


Спасибо всем откликнувшимся! Докладываю результат. Свищ после удаления лигатуры за неделю затянулся. Фиксаторы с лодыжек удалены, БИОС. Мы удовлетворены, пациент доволен. 
Николов Олег
----------- следущая часть -----------
Вложение в формате HTML было извлечено…
URL: http://weborto.net:8080/pipermail/ortho/attachments/20120130/f1d79de7/attachment-0001.htm 
----------- следущая часть -----------
Вложение не в текстовом формате было извлечено…
Имя     : 6.jpg
Тип     : image/jpg
Размер  : 29748 байтов
Описание: отсутствует
Url     : http://weborto.net:8080/pipermail/ortho/attachments/20120130/f1d79de7/attachment-0001.jpg 


Подробная информация о списке рассылки Ortho