[Ortho] Остеомиелит дистального метафиза бедренной кости

"алмаз" orthoforum на weborto.net
Пн Июл 2 22:37:54 YEKST 2012


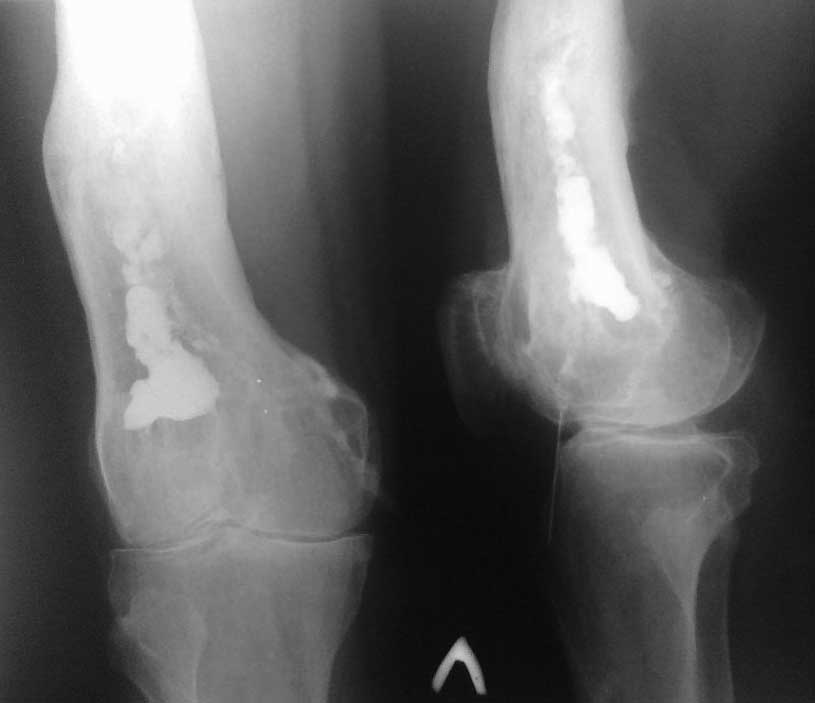
Уважаемые коллеги помогите определить с тактикой лечении. Больной Т 55 лет. Диагноз: Хронический посттравматический остеомиелит дистального метафиза левой бедренной кости, свищевая форма в стадии обострение, с остеодеструкции костной ткани.	

Из анамнеза - в 1990 г. получил автодорожную травму. Лечился в ОКБ. Произведена операция - открытая репозиция. интрамед МОС н/3 бедренной кости 2-мя стержнями по Эндеру. Из за нагноение ран металлоконструкция удалена. Через 1 года появилась свищевая рана в н/3 бедра с гнойным отделяемым, с периодическими обострениями. В динамике инфицированная рана (свищ) периодический заживает вторичным натяжением. В 2011 году получал консервативное лечение в ГБ-4 г. Алматы. В данное время вышеуказанные жалобы беспокоят в течение 1 мес. Локально:При осмотре в н/3 левого бедра, область коленного сустава умеренно отечна. В области н/3 левого бедра по передне-латеральной поверхности имеется п/о рубец длиной 12 см, без признаков воспаления. По передне-медиальной поверхности в н/3 бедра имеется свищ 0,7х0,7 см с серозно-гнойным отделяемым. Определяется отечность, болезненность распирающего характера. Движения в коленном суставе (сгибания до160°) ограничено. Чувствительность и движение пальцев лев стопы не нарушены. 
Алмаз
----------- следущая часть -----------
Вложение в формате HTML было извлечено…
URL: http://weborto.net:8080/pipermail/ortho/attachments/20120702/5c272167/attachment-0001.htm 
----------- следущая часть -----------
Вложение не в текстовом формате было извлечено…
Имя     : 02072012520 1.jpg
Тип     : image/jpg
Размер  : 31167 байтов
Описание: отсутствует
Url     : http://weborto.net:8080/pipermail/ortho/attachments/20120702/5c272167/attachment-0001.jpg 


Подробная информация о списке рассылки Ortho