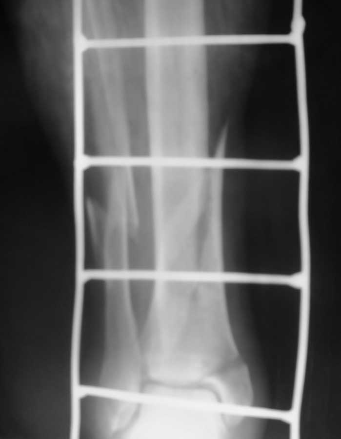
[Ortho] открытый перелом н/3 обеих костей левой глени

"дмитрий" orthoforum на weborto.net
Сб Июл 7 22:02:38 YEKST 2012


рентгенограммы
дмитрий
----------- следущая часть -----------
Вложение не в текстовом формате было извлечено…
Имя     : 100_0375[1].JPG
Тип     : image/jpg
Размер  : 35460 байтов
Описание: отсутствует
Url     : http://weborto.net:8080/pipermail/ortho/attachments/20120707/066bb687/attachment-0003.jpg 
----------- следущая часть -----------
Вложение не в текстовом формате было извлечено…
Имя     : 100_0376[1].JPG
Тип     : image/jpg
Размер  : 34989 байтов
Описание: отсутствует
Url     : http://weborto.net:8080/pipermail/ortho/attachments/20120707/066bb687/attachment-0004.jpg 
----------- следущая часть -----------
Вложение не в текстовом формате было извлечено…
Имя     : 100_0380[1].JPG
Тип     : image/jpg
Размер  : 81399 байтов
Описание: отсутствует
Url     : http://weborto.net:8080/pipermail/ortho/attachments/20120707/066bb687/attachment-0005.jpg 


Подробная информация о списке рассылки Ortho