[Ortho] Повторный перелом н/3 большеберцовой кости с наличием металлофиксаторов

Vlad Kozanchuk orthoforum на weborto.net
Вс Июл 8 12:53:29 YEKST 2012


Уважаемые коллеги, доброго времени суток! 

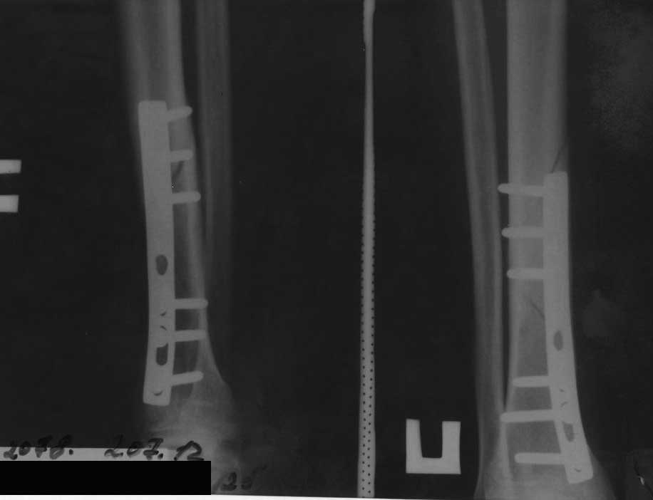
Больной 25 лет, нормостеник, курящий. Травма бытовая 28.01.2012. Госпитализирован в травм. отделение. 30.01.2012 выполнено оперативное вмешательство - открытая репозиция, металлоостеосинтез накостной пластиной (сразу приношу извинения за качество п/о рентгенограмм, к тому же, у больного сохранился
снимок только в прямой проекции). П/о период без особенностей. Выписан на амбулаторное лечение. Через 4 месяца - полная нагрузка на ногу, вёл обычный образ жизни. 02.07.2012 спрыгнул с дерева и внезапно почувствовал сильную боль в голени. На рентгенограмме - повторный перелом. Временно наложен сапожок HM Cast. Вопрос: что делать? Оставить так как есть? Открыться и поставить пластину подлиннее(на б/б стержень у больного нет $)? По-моему, линия излома проходит через места выхода винтов, боюсь, как бы они не стали "распоркой" для костных отломков и не стали препятствовать сращению... Заранее благодарен за помощь. 

С уважением, Влад Козанчук 

Маньковская ЦРБ 
Черкасская область 
Украина.
----------- следущая часть -----------
Вложение в формате HTML было извлечено…
URL: http://weborto.net:8080/pipermail/ortho/attachments/20120708/e6fc9d5a/attachment-0001.htm 
----------- следущая часть -----------
Вложение не в текстовом формате было извлечено…
Имя     : new1.jpg
Тип     : image/jpg
Размер  : 29196 байтов
Описание: отсутствует
Url     : http://weborto.net:8080/pipermail/ortho/attachments/20120708/e6fc9d5a/attachment-0001.jpg 


Подробная информация о списке рассылки Ortho