[Ortho] Повторный перелом н/3 большеберцовой кости с наличием металлофиксаторов

Michael Berenstein dr_mbern на bezeqint.net
Пн Июл 9 00:06:16 YEKST 2012


А можно его в сапожке оставить, месяца на полтора?

 

From: ortho-bounces на weborto.net [mailto:ortho-bounces на weborto.net] On Behalf
Of Vlad Kozanchuk
Sent: Sunday, July 08, 2012 10:02 AM
To: alex на weborto.net
Subject: [Ortho] Повторный перелом н/3 большеберцовой кости с наличием
металлофиксаторов

 

Уважаемые коллеги, доброго времени суток! 

 

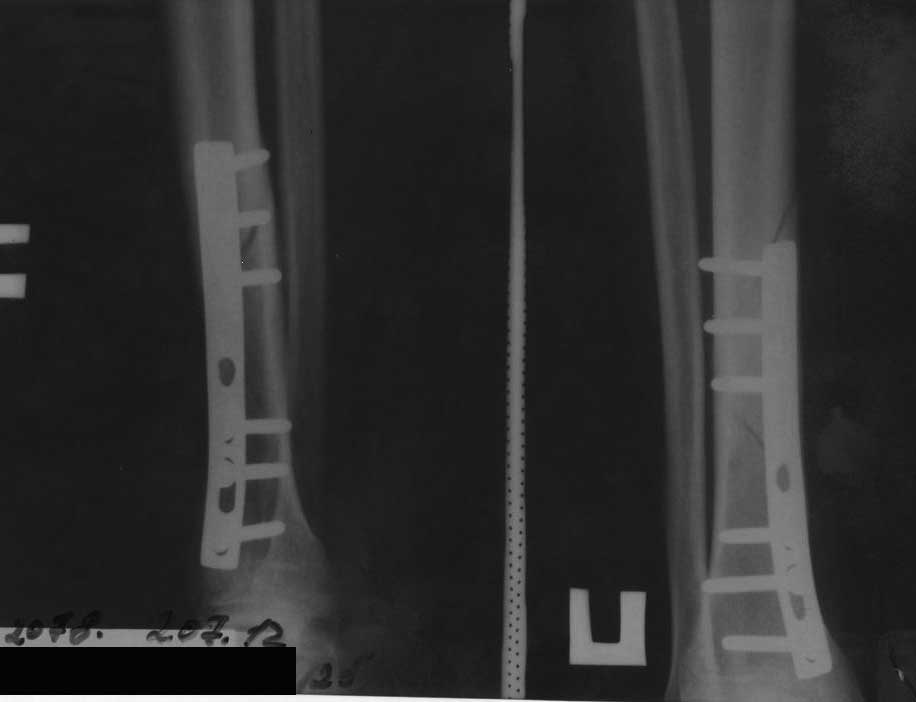
Больной 25 лет, нормостеник, курящий. Травма бытовая 28.01.2012.
Госпитализирован в травм. отделение. 30.01.2012 выполнено оперативное
вмешательство - открытая репозиция, металлоостеосинтез накостной пластиной
(сразу приношу извинения за качество п/о рентгенограмм, к тому же, у
больного сохранился
снимок только в прямой проекции). П/о период без особенностей. Выписан на
амбулаторное лечение. Через 4 месяца - полная нагрузка на ногу, вёл обычный
образ жизни. 02.07.2012 спрыгнул с дерева и внезапно почувствовал сильную
боль в голени. На рентгенограмме - повторный перелом. Временно наложен
сапожок HM Cast. Вопрос: что делать? Оставить так как есть? Открыться и
поставить пластину подлиннее(на б/б стержень у больного нет $)? По-моему,
линия излома проходит через места выхода винтов, боюсь, как бы они не стали
"распоркой" для костных отломков и не стали препятствовать сращению...
Заранее благодарен за помощь. 

 

С уважением, Влад Козанчук 

 

Маньковская ЦРБ 

Черкасская область 

Украина.


----------- следущая часть -----------
Вложение в формате HTML было извлечено…
URL: http://weborto.net:8080/pipermail/ortho/attachments/20120708/2a112a89/attachment-0001.htm 
----------- следущая часть -----------
Вложение не в текстовом формате было извлечено…
Имя     : отсутствует
Тип     : image/jpeg
Размер  : 29196 байтов
Описание: отсутствует
Url     : http://weborto.net:8080/pipermail/ortho/attachments/20120708/2a112a89/attachment-0001.jpeg 


Подробная информация о списке рассылки Ortho