[Ortho] Перелом пятки - тактика лечения?

"Сергей" orthoforum на weborto.net
Вт Июл 10 23:31:20 YEKST 2012


Уважаемые коллеги!

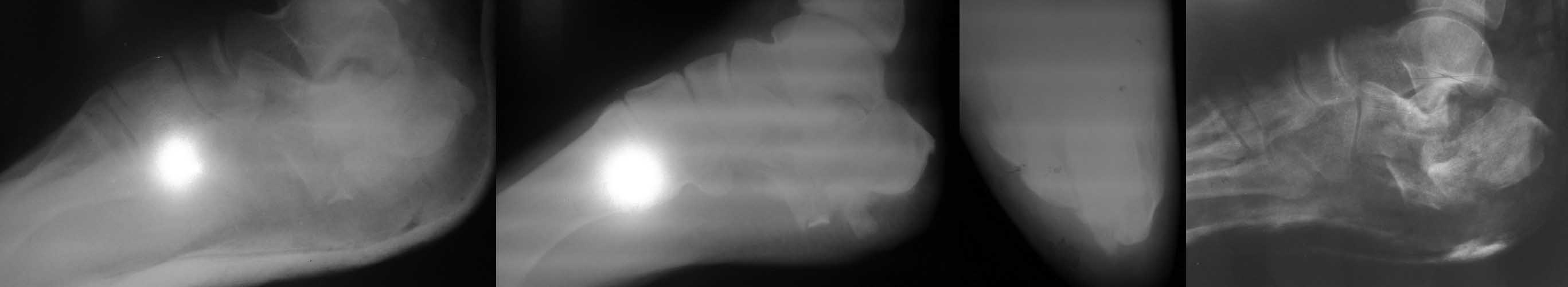
П-ка, 28 лет, выпрыгнула с 3 этажа в состоянии а/о,неосл.переломы L1,2,3,ушиб почки, мочевого пузыря, перелом пяточной кости справа без смещения, оскольчатый перелом левой пяточной кости со смещением. Rn-гр.соответственно при поступлении, контроль в динамике и после закрытой ручной репозиции под в/в анестезией. Грубое смещение сохраняется. В арсенале спицы Киршнера, возможен забор аутотрансплантата. Есть сомнения по поводу заживления( алкогольный анамнез и возможно не только)после операции. Нужно в данном случае всеми средствами приводить к более менее терпимой картине? Допустима операция после консолидации этой "каши" в отсроченном порядке или вообще консервативная тактика. Повторюсь есть сомнения в выполнении п-кой послеоперационных рекомендаций, возможно нарушение ортопедического режима? Спасибо за ваше мнение.
Сергей
----------- следущая часть -----------
Вложение в формате HTML было извлечено…
URL: http://weborto.net:8080/pipermail/ortho/attachments/20120710/7a577587/attachment-0001.htm 
----------- следущая часть -----------
Вложение не в текстовом формате было извлечено…
Имя     : 2012-07-10_182318.jpg
Тип     : image/jpg
Размер  : 38620 байтов
Описание: отсутствует
Url     : http://weborto.net:8080/pipermail/ortho/attachments/20120710/7a577587/attachment-0001.jpg 


Подробная информация о списке рассылки Ortho