[Ortho] Тактика лечения политравмы?

Djoldas Kuldjanov orthoforum на weborto.net
Вт Июл 17 01:22:47 YEKST 2012


Уважаемые коллеги, извиняюсь за задержку, связанную с переездом, готовим жилье для приезжающих к нам коллег. Поэтому с небольшим опозданием продолжаю дискуссию о последовательности оказания помощи больным с политравмой....
При наличии различных сложных повреждении у одного того же больного, часто задается вопрос “How much is too much?” т.е. обьем помощи пострадавшему во время дежурства. Экстренную помощь надо оказывать в специализированных клиниках, где имеется обученный персонал и обеспечение, но на практике не все дежуранты, даже в передовых институтах, владеют нужными знаниями. Незнающий врач принесет больше вреда неумелыми действиями, чем если оставить больного на скелетном вытяжении. 
В организации мероприятии Damage Control первостепенная задача сохранение от ранней смерти временной стабилизацией и последующим оказанием специализированной помощи. Независимо от того, где бы не оказана помощь, желательно стабилизировать внутрисуставные повреждения первично, затем, по улучшении состояния, окончательная фиксация остальных повреждении.
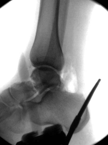
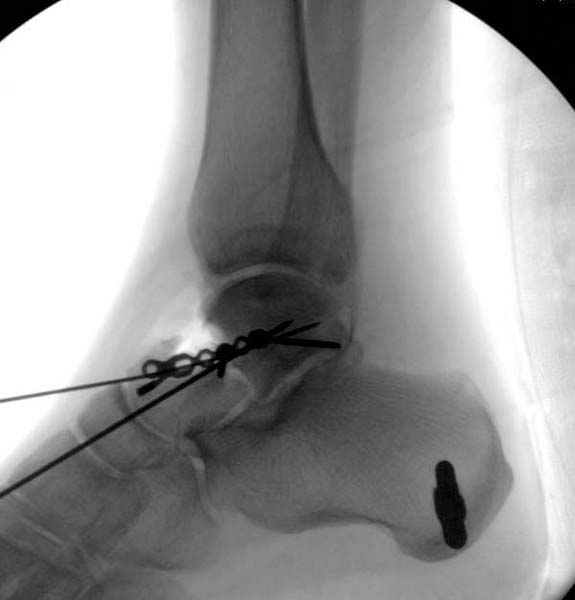
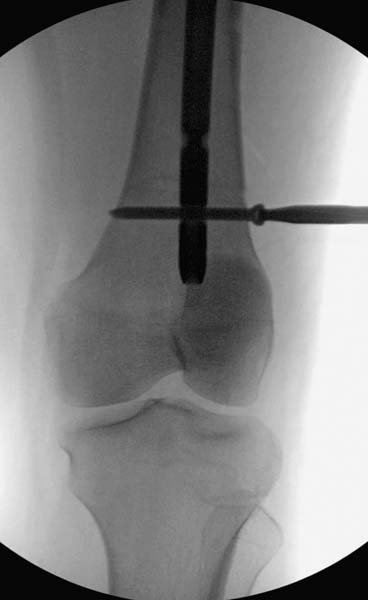
Трудно выбрать приоритет, когда имеется одинаковые по значимости, по сложности повреждения и с вовлечением различной локализации. У пожилых переломо-вывих головки бедра можно было бы проигнорировать, но у молодых такое решение привело бы к катастрофе, и поэтому приоритет первичной фиксации отдали решению переломо-вывиха таранной кости и головки бедра.
Мы понимаем патофизиологию "шока", но у нас не принято выставлять этот диагноз. Главным для нас является стабильность больного, т.е создание промежутка, когда без риска можно произвести операцию по стабилизации переломов. По канонам ATLS, мероприятия по созданию стабильности (борьба с шоком) необходимо начать с места травмы и продолжить эти мероприятия в госпитале. 
Температура тела при поступлении? Уровень лактата, КЩС? Значение МНО?
Все показатели несут важную информацию о том что происходит в организме, но ссылка на эти показателей в ургентной ортопедии звучит как приговор! Показатели температуры, КЩС или INR, даже черепно-мозговая травма, никоим образом не повлияла бы на продолжения мероприятий по первичной стабилизации. КЩС и кровопотерю можно коррегировать паралельно с нахождением источника, и опыт показывает, что с такой задачей намного легче справляться в операционной, чем в палатах интенсивной терапии. Тем более такие нарушения характерны для хронических больных, чем у молодой особы...
Вообщем.., больная поступает около 2.00 дня и дальнейщая хронология: 2.27 PМ рентген грудной клетки; 2.54 РМ рентген бедра; 2.53-3.06 КТ скан, всего около 2000 срезов. Из-за беспокойства пациента (алкоголь), множественные переломы ребер – трубка в превральную полость и интубация. Около 3.45 в операционной эксплуараторная лапароскопия с последующим ушиванием брюшной полости. 
Перелом позвоночника и боковую компрессию таза отнесли к стабильным переломам и не стали форсировать события до лучших времен... 
“я бы собрал таран, ретроградное штифтование (без рассверливания) перелома бедра после хирургов и на последнем месте - перевернув больную на живот собрать на винтах головку, ревизию впадины и вправить вывих. из заднего доступа”

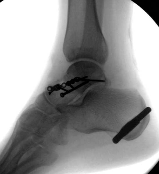
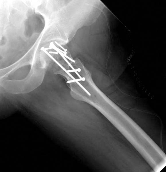
Больная стабильная после хирургических мероприятии и получив добро, приступили к закрытому вправлению таранной кости с укладкой наружного фиксатора. Затем укладка больную на бок и открытый остеосинтез перелома-вывиха головки бедра. 
По характеру повреждения головка находится сзади и напрашивается задний Кохер-Лангенбек доступ, но в заднем доступе имеется риск повреждения магистрального кровоснабжения головки a. circumflexa. Более щадящая trochanteric flip (digastric osteotomy) сохранит кровоснабжение и дасть возможность работу при вывихнутом суставе. 
Остеосинтез бедра не стали делать из-за множественных переломов ребер с ушибом грудной клетки и поэтом у закончили фиксацию бедра наружным фиксатором. 
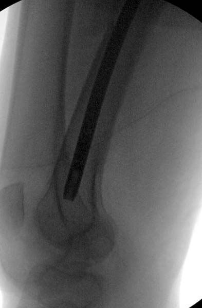
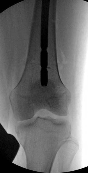
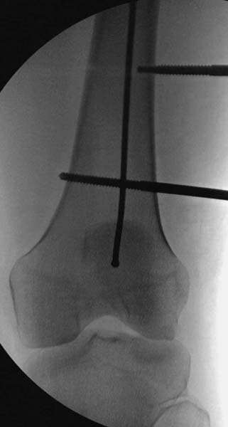
Около 11.00 вечера больная переведена в реанимацию, без сознания, но стабильная.. На третьий день провели стабилизацию перелома бедра антеградным остеосинтезом. 
Закрытый БИОС решает множественные проблемы связанные с лечением переломов, но проблема дистальной блокировки без рентгена до сих пор остается нерешенной. Рекламированные производителями приспособления для дистальной блокировки из-за различной кривизны кости не эффективны или стоит очень дорого (Smith&Nephew SureLock). Задержка операции из-за блокировки не всегда удовлетворяет, и многих вынуждает искать альтернативные методы фиксации. С результатами таких действий, остеомиелитом и несращениями, встречаемся в ежедневной жизни..
Для решения проблемы дистальной блокировки компания DigiMed недавно предложила систему блокировки без рентгена. Пока в стране только два набора и только для антеградных гвоздей, но компания работает над созданием устроиства для других гвоздей тоже..
Результат первых случаев показала отсутствие разницы между занятиями на муляжах, а также Workshop и с удивительной точностью вывел латерально над кожей специальное сверло. Дальше по сверлу тонкий направитель и проводится сверление каннюлированным сверлом....
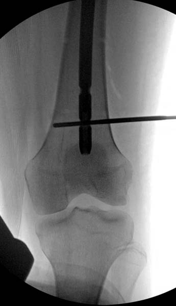
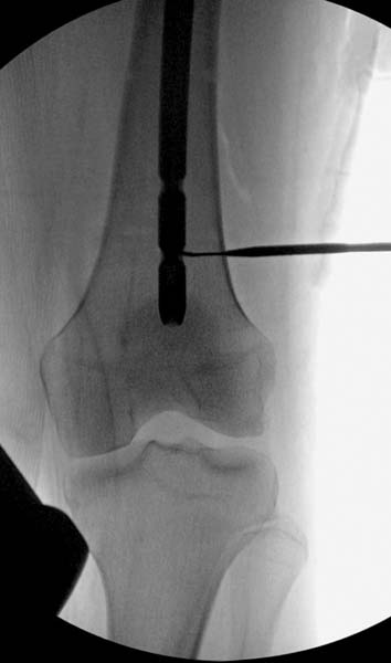
После спадения отека на стопе произведена фиксация тарана. Кстати, коллеги пересмотрели первоначальную консультацию по позвоночнику и на двух уровнях провели фиксацию. Из-за длительного постельного режима без нагрузки таз не стали оперировать...
Djoldas Kuldjanov

----------- следущая часть -----------
Вложение в формате HTML было извлечено…
URL: http://weborto.net:8080/pipermail/ortho/attachments/20120716/f68425c9/attachment-0001.htm 
----------- следущая часть -----------
Вложение не в текстовом формате было извлечено…
Имя     : 16 Fem diaphys fem neck 6.jpg
Тип     : image/jpg
Размер  : 28623 байтов
Описание: отсутствует
Url     : http://weborto.net:8080/pipermail/ortho/attachments/20120716/f68425c9/attachment-0030.jpg 
----------- следущая часть -----------
Вложение не в текстовом формате было извлечено…
Имя     : 18 Fem diaphys fem neck 8.jpg
Тип     : image/jpg
Размер  : 35719 байтов
Описание: отсутствует
Url     : http://weborto.net:8080/pipermail/ortho/attachments/20120716/f68425c9/attachment-0031.jpg 
----------- следущая часть -----------
Вложение не в текстовом формате было извлечено…
Имя     : 19 Fem diaphys fem neck 9.jpg
Тип     : image/jpg
Размер  : 28311 байтов
Описание: отсутствует
Url     : http://weborto.net:8080/pipermail/ortho/attachments/20120716/f68425c9/attachment-0032.jpg 
----------- следущая часть -----------
Вложение не в текстовом формате было извлечено…
Имя     : 21 fem head final.jpg
Тип     : image/jpg
Размер  : 26951 байтов
Описание: отсутствует
Url     : http://weborto.net:8080/pipermail/ortho/attachments/20120716/f68425c9/attachment-0033.jpg 
----------- следущая часть -----------
Вложение не в текстовом формате было извлечено…
Имя     : 22 fem head final lat.jpg
Тип     : image/jpg
Размер  : 36441 байтов
Описание: отсутствует
Url     : http://weborto.net:8080/pipermail/ortho/attachments/20120716/f68425c9/attachment-0034.jpg 
----------- следущая часть -----------
Вложение не в текстовом формате было извлечено…
Имя     : 23 Fem diaphys fem neck 11.jpg
Тип     : image/jpg
Размер  : 29981 байтов
Описание: отсутствует
Url     : http://weborto.net:8080/pipermail/ortho/attachments/20120716/f68425c9/attachment-0035.jpg 
----------- следущая часть -----------
Вложение не в текстовом формате было извлечено…
Имя     : 24 Fem diaphys fem neck 12.jpg
Тип     : image/jpg
Размер  : 28842 байтов
Описание: отсутствует
Url     : http://weborto.net:8080/pipermail/ortho/attachments/20120716/f68425c9/attachment-0036.jpg 
----------- следущая часть -----------
Вложение не в текстовом формате было извлечено…
Имя     : 25 Fem diaphys fem neck 13.jpg
Тип     : image/jpg
Размер  : 37350 байтов
Описание: отсутствует
Url     : http://weborto.net:8080/pipermail/ortho/attachments/20120716/f68425c9/attachment-0037.jpg 
----------- следущая часть -----------
Вложение не в текстовом формате было извлечено…
Имя     : 26 Fem diaphys fem neck 14.jpg
Тип     : image/jpg
Размер  : 35092 байтов
Описание: отсутствует
Url     : http://weborto.net:8080/pipermail/ortho/attachments/20120716/f68425c9/attachment-0038.jpg 
----------- следущая часть -----------
Вложение не в текстовом формате было извлечено…
Имя     : 28 Fem diaphys fem neck 16.jpg
Тип     : image/jpg
Размер  : 34626 байтов
Описание: отсутствует
Url     : http://weborto.net:8080/pipermail/ortho/attachments/20120716/f68425c9/attachment-0039.jpg 
----------- следущая часть -----------
Вложение не в текстовом формате было извлечено…
Имя     : 29 Fem diaphys fem neck 17.jpg
Тип     : image/jpg
Размер  : 26353 байтов
Описание: отсутствует
Url     : http://weborto.net:8080/pipermail/ortho/attachments/20120716/f68425c9/attachment-0040.jpg 
----------- следущая часть -----------
Вложение не в текстовом формате было извлечено…
Имя     : 30 Fem diaphys fem neck 18.jpg
Тип     : image/jpg
Размер  : 25025 байтов
Описание: отсутствует
Url     : http://weborto.net:8080/pipermail/ortho/attachments/20120716/f68425c9/attachment-0041.jpg 
----------- следущая часть -----------
Вложение не в текстовом формате было извлечено…
Имя     : 31 Fem diaphys fem neck 19.jpg
Тип     : image/jpg
Размер  : 25248 байтов
Описание: отсутствует
Url     : http://weborto.net:8080/pipermail/ortho/attachments/20120716/f68425c9/attachment-0042.jpg 
----------- следущая часть -----------
Вложение не в текстовом формате было извлечено…
Имя     : 32 Fem diaphys fem neck 20.jpg
Тип     : image/jpg
Размер  : 28246 байтов
Описание: отсутствует
Url     : http://weborto.net:8080/pipermail/ortho/attachments/20120716/f68425c9/attachment-0043.jpg 
----------- следущая часть -----------
Вложение не в текстовом формате было извлечено…
Имя     : 34 Fem diaphys fem neck 22.jpg
Тип     : image/jpg
Размер  : 27746 байтов
Описание: отсутствует
Url     : http://weborto.net:8080/pipermail/ortho/attachments/20120716/f68425c9/attachment-0044.jpg 
----------- следущая часть -----------
Вложение не в текстовом формате было извлечено…
Имя     : 35 Fem diaphys fem neck 23.jpg
Тип     : image/jpg
Размер  : 28113 байтов
Описание: отсутствует
Url     : http://weborto.net:8080/pipermail/ortho/attachments/20120716/f68425c9/attachment-0045.jpg 
----------- следущая часть -----------
Вложение не в текстовом формате было извлечено…
Имя     : 36 Fem diaphys fem neck 24.jpg
Тип     : image/jpg
Размер  : 27428 байтов
Описание: отсутствует
Url     : http://weborto.net:8080/pipermail/ortho/attachments/20120716/f68425c9/attachment-0046.jpg 
----------- следущая часть -----------
Вложение не в текстовом формате было извлечено…
Имя     : 37 Fem diaphys fem neck 25.jpg
Тип     : image/jpg
Размер  : 26468 байтов
Описание: отсутствует
Url     : http://weborto.net:8080/pipermail/ortho/attachments/20120716/f68425c9/attachment-0047.jpg 
----------- следущая часть -----------
Вложение не в текстовом формате было извлечено…
Имя     : 38 Fem diaphys fem neck 26.jpg
Тип     : image/jpg
Размер  : 29143 байтов
Описание: отсутствует
Url     : http://weborto.net:8080/pipermail/ortho/attachments/20120716/f68425c9/attachment-0048.jpg 
----------- следущая часть -----------
Вложение не в текстовом формате было извлечено…
Имя     : 45 Fem diaphys fem neck 33.jpg
Тип     : image/jpg
Размер  : 27884 байтов
Описание: отсутствует
Url     : http://weborto.net:8080/pipermail/ortho/attachments/20120716/f68425c9/attachment-0049.jpg 
----------- следущая часть -----------
Вложение не в текстовом формате было извлечено…
Имя     : 47 Fem diaphys fem neck 35.jpg
Тип     : image/jpg
Размер  : 38989 байтов
Описание: отсутствует
Url     : http://weborto.net:8080/pipermail/ortho/attachments/20120716/f68425c9/attachment-0050.jpg 
----------- следущая часть -----------
Вложение не в текстовом формате было извлечено…
Имя     : 48 Fem diaphys fem neck 36.jpg
Тип     : image/jpg
Размер  : 32390 байтов
Описание: отсутствует
Url     : http://weborto.net:8080/pipermail/ortho/attachments/20120716/f68425c9/attachment-0051.jpg 
----------- следущая часть -----------
Вложение не в текстовом формате было извлечено…
Имя     : 49 Fem diaphys fem neck 37.jpg
Тип     : image/jpg
Размер  : 31221 байтов
Описание: отсутствует
Url     : http://weborto.net:8080/pipermail/ortho/attachments/20120716/f68425c9/attachment-0052.jpg 
----------- следущая часть -----------
Вложение не в текстовом формате было извлечено…
Имя     : 51 Fem diaphys fem neck 39.jpg
Тип     : image/jpg
Размер  : 39260 байтов
Описание: отсутствует
Url     : http://weborto.net:8080/pipermail/ortho/attachments/20120716/f68425c9/attachment-0053.jpg 
----------- следущая часть -----------
Вложение не в текстовом формате было извлечено…
Имя     : 53.jpg
Тип     : image/jpg
Размер  : 34233 байтов
Описание: отсутствует
Url     : http://weborto.net:8080/pipermail/ortho/attachments/20120716/f68425c9/attachment-0054.jpg 
----------- следущая часть -----------
Вложение не в текстовом формате было извлечено…
Имя     : 54.jpg
Тип     : image/jpg
Размер  : 31346 байтов
Описание: отсутствует
Url     : http://weborto.net:8080/pipermail/ortho/attachments/20120716/f68425c9/attachment-0055.jpg 
----------- следущая часть -----------
Вложение не в текстовом формате было извлечено…
Имя     : 55.jpg
Тип     : image/jpg
Размер  : 27239 байтов
Описание: отсутствует
Url     : http://weborto.net:8080/pipermail/ortho/attachments/20120716/f68425c9/attachment-0056.jpg 
----------- следущая часть -----------
Вложение не в текстовом формате было извлечено…
Имя     : 60 inj.jpg
Тип     : image/jpg
Размер  : 32240 байтов
Описание: отсутствует
Url     : http://weborto.net:8080/pipermail/ortho/attachments/20120716/f68425c9/attachment-0057.jpg 
----------- следущая часть -----------
Вложение не в текстовом формате было извлечено…
Имя     : 61 inj.jpg
Тип     : image/jpg
Размер  : 32136 байтов
Описание: отсутствует
Url     : http://weborto.net:8080/pipermail/ortho/attachments/20120716/f68425c9/attachment-0058.jpg 
----------- следущая часть -----------
Вложение не в текстовом формате было извлечено…
Имя     : 62.jpg
Тип     : image/jpg
Размер  : 34841 байтов
Описание: отсутствует
Url     : http://weborto.net:8080/pipermail/ortho/attachments/20120716/f68425c9/attachment-0059.jpg 


Подробная информация о списке рассылки Ortho