[Ortho] глубокая перипротезная инфекция

Maxim Agalakov orthoforum на weborto.net
Вт Июл 17 21:39:27 YEKST 2012


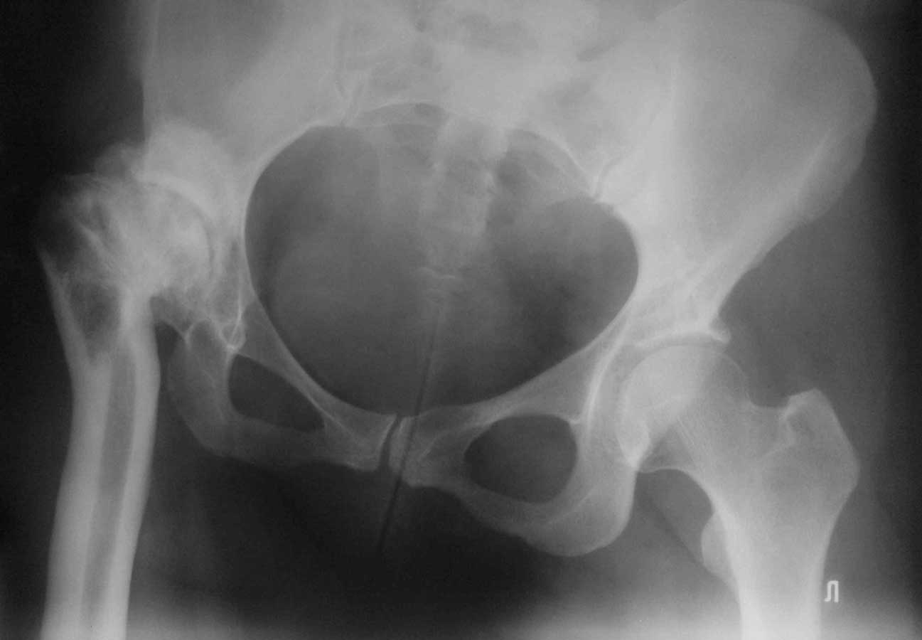
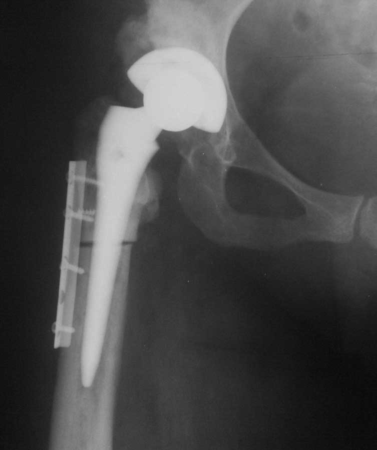
Уважаемые коллеги, к нам поступила женщина 45 лет с такой вот ситуацией:	
			
Операция около 1,5 месяцев назад: тотальное б/ц эндопротезирование с остеотомией проксимального отдела бедра. Послеоперационный период - без особенностей, рана зажила первично, выписана домой. В анамнезе в детском и юношеском возрасте несколько оперативных вмешательств на вертлужной впадине и бедре по поводу врожденного вывиха бедра, судя по рубцам, протекавшие не совсем гладко.
около 2,5 недель назад пациентка начала отмечать вечерние подъемы температуры до 38.
примерно в это же время выявлен высокий тромбоз поверхностной бедренной и общей бедренной вен, несмотря на прием антикоагулянтов.
Пунктирован сустав - получен рост золотистого стафилококка. Учитывая острый тромбоз, назначена супрессивная а/б терапия с учетом чувствительности.
В настоящее время: тромбоз с положительной динамикой с признаками реканализации, небольшой лейкоцитоз, СРБ до 12, вечерние свечки до 38 (не каждый день), субъективно - чувствует себя лучше. Локально: плотный отек в области п/о рубца, гиперэмия, небольшое количество пузырей с серозным отделяемым (сожалею, сегодня не успел сфотографировать).
Вопросы: 
-какова вероятность локализации процесса в мягких тканях или не стоит выдавать желаемое за действительное?
- объем ревизионного вмешательства: сохранять эндопротез или нет? одноэтапно или двухэтапно? На фоне остеотомии бедра испльзовать цементный спейсер или поробовать импакционную пластику с добавлением антибиотика или пластику - дистально, цемент проксимально?

с уважением, Максим Агалаков, Е- бург

----------- следущая часть -----------
Вложение в формате HTML было извлечено…
URL: http://weborto.net:8080/pipermail/ortho/attachments/20120717/93ffc422/attachment-0001.htm 
----------- следущая часть -----------
Вложение не в текстовом формате было извлечено…
Имя     : 1.jpg
Тип     : image/jpg
Размер  : 48587 байтов
Описание: отсутствует
Url     : http://weborto.net:8080/pipermail/ortho/attachments/20120717/93ffc422/attachment-0004.jpg 
----------- следущая часть -----------
Вложение не в текстовом формате было извлечено…
Имя     : 2.jpg
Тип     : image/jpg
Размер  : 39594 байтов
Описание: отсутствует
Url     : http://weborto.net:8080/pipermail/ortho/attachments/20120717/93ffc422/attachment-0005.jpg 
----------- следущая часть -----------
Вложение не в текстовом формате было извлечено…
Имя     : 2012-07-16-230.jpg
Тип     : image/jpg
Размер  : 30241 байтов
Описание: отсутствует
Url     : http://weborto.net:8080/pipermail/ortho/attachments/20120717/93ffc422/attachment-0006.jpg 
----------- следущая часть -----------
Вложение не в текстовом формате было извлечено…
Имя     : posev.jpg
Тип     : image/jpg
Размер  : 110113 байтов
Описание: отсутствует
Url     : http://weborto.net:8080/pipermail/ortho/attachments/20120717/93ffc422/attachment-0007.jpg 


Подробная информация о списке рассылки Ortho