[Ortho] Перелом дистального отдела костей голени

"Евгений" orthoforum на weborto.net
Чт Июл 19 21:04:24 YEKST 2012


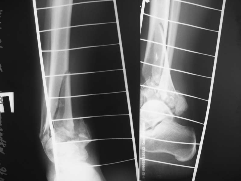
Здравствуйте, уважаемые коллеги. Помогите определиться с тактикой лечения. В отделение
поступил пациент с тяжелым закрытым переломом дистального отдела костей голени (см.
рентгенограммы), травма получена в результате падения с высоты 2-го этажа. Пациенту 38 лет.
Состояние пациента удовлетворительное, кожные покровы голени в удовлетворительном
состоянии. Вопрос: как вы считаете, какую тактику предпочтительнее выбрать в данном случае
- первичное артродезирование или попытаться выполнить реконструкцию суставной
поверхности большеберцовой кости. Очень важны ваши комментарии. Если есть
фоторентгенограммы в вашем личном архиве подобных переломов, просьба выложить для
просмотра.
Евгений
----------- следущая часть -----------
Вложение не в текстовом формате было извлечено…
Имя     : IMG_2538.JPG
Тип     : image/jpg
Размер  : 76046 байтов
Описание: отсутствует
Url     : http://weborto.net:8080/pipermail/ortho/attachments/20120719/e2dee816/attachment-0002.jpg 
----------- следущая часть -----------
Вложение не в текстовом формате было извлечено…
Имя     : IMG_2541.JPG
Тип     : image/jpg
Размер  : 47243 байтов
Описание: отсутствует
Url     : http://weborto.net:8080/pipermail/ortho/attachments/20120719/e2dee816/attachment-0003.jpg 


Подробная информация о списке рассылки Ortho