[Ortho] Экзостозы

Marina orthoforum на weborto.net
Пт Июл 20 11:10:31 YEKST 2012


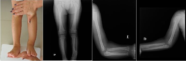
Здравствуйте, уважаемые коллеги!Посоветуйте как поступить при деформации голени у
ребенка.

Ребенку 2 года 8 месяцев. Около полугода назад появилась деформация нижней трети левой
голени. Сделали рентгенограммы. У матери ребенка так же экзостозы в верхней трети
большеберцовой кости, ребер. Что можно предпринять при такой деформации голени?
Marina
----------- следущая часть -----------
Вложение не в текстовом формате было извлечено…
Имя     : DSC_6499.JPG
Тип     : image/jpg
Размер  : 62836 байтов
Описание: отсутствует
Url     : http://weborto.net:8080/pipermail/ortho/attachments/20120720/f6e7b7d9/attachment-0001.jpg 


Подробная информация о списке рассылки Ortho