[Ortho] Перелом дистального отдела костей голени

Djoldas Kuldjanov orthoforum на weborto.net
Вс Июл 22 18:46:36 YEKST 2012


Современную тактику лечения переломов пилона описали коллеги, а мне остается подтвердить клинически. В многоэтапном лечении главное - это предупреждение сокращения мягких тканей, от которого зависит судьба конечности. Дистракция любым наружным фиксатором, и по готовности мягких тканей - премежуточная или окончательная фиксация.

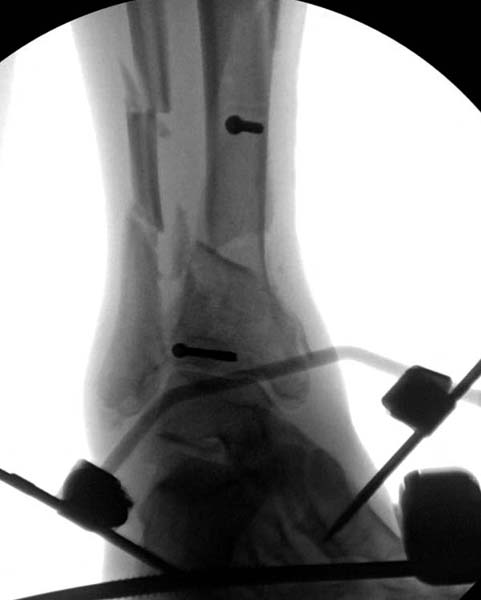
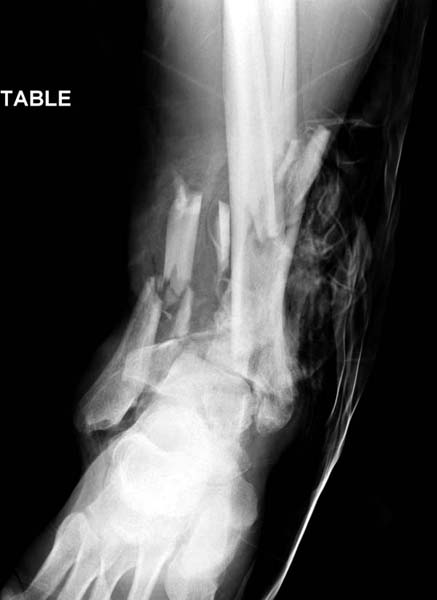
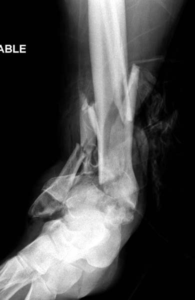
В нашем случае, травма в результате коллапса крыши. Открытый перелом. Ургентные Irrigation and Debridment, дистракция наружным фиксатором. В госпиталях первого уровня редко бывает изолированная травма, и на другой стороне повреждение стопы с переломом навикулярной кости. После обработки раны - вакуум и двухсторонние наружные фиксаторы.

Вначале нет смысла заказывает КТ, только дистракция организует на свое место свободных фрагментов. По топографии отломком преоперационный план, а готовность мягкой ткани подтвердит появившиеся морщины на поверхности кожи, “Wrinkle Sign”.

Трудно предсказать, что в течение именно двух недель решится готовность к операции. Все зависит от энергии травмы, иногда образование морщин ждали более чем две недели. Любая интервенция без подготовки кожных покровов - это риск осложнений!

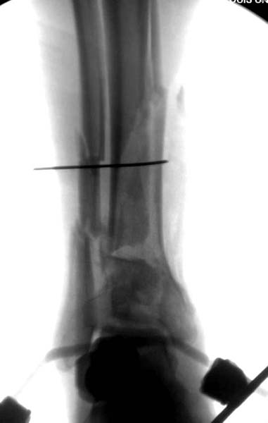
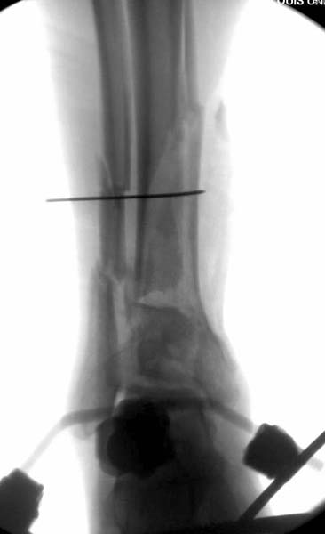
Через три дня повторная I&D, где через рану манипулировали дистальным фрагментом с установкой пары межфрагментарных шурупов. На рану вакуум и следующая обработка закончилась закрытием раны. Отек держался немного дольше, чем обычно.

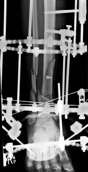
После спадения отека вариантов фиксации много, включая мининвазивную технику, но данный случай закончили установкой простого аппарата Илизарова.


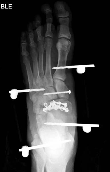
Через три дня оперирована стопа и для нейтрализации сил колонн оставили наружный фиксатор.

Djoldas Kuldjanov, MD
Associate Professor
Department of Orthopedic Surgery
St. Louis University Medical Center
----------- следущая часть -----------
Вложение в формате HTML было извлечено…
URL: http://weborto.net:8080/pipermail/ortho/attachments/20120722/b7a05913/attachment-0001.htm 
----------- следущая часть -----------
Вложение не в текстовом формате было извлечено…
Имя     : 1 Open pilon injury.jpg
Тип     : image/jpg
Размер  : 33669 байтов
Описание: отсутствует
Url     : http://weborto.net:8080/pipermail/ortho/attachments/20120722/b7a05913/attachment-0019.jpg 
----------- следущая часть -----------
Вложение не в текстовом формате было извлечено…
Имя     : 2 Open pilon injury.jpg
Тип     : image/jpg
Размер  : 30607 байтов
Описание: отсутствует
Url     : http://weborto.net:8080/pipermail/ortho/attachments/20120722/b7a05913/attachment-0020.jpg 
----------- следущая часть -----------
Вложение не в текстовом формате было извлечено…
Имя     : 3 open injury.jpg
Тип     : image/jpg
Размер  : 34609 байтов
Описание: отсутствует
Url     : http://weborto.net:8080/pipermail/ortho/attachments/20120722/b7a05913/attachment-0021.jpg 
----------- следущая часть -----------
Вложение не в текстовом формате было извлечено…
Имя     : 7 Pilon ID exfix.jpg
Тип     : image/jpg
Размер  : 23729 байтов
Описание: отсутствует
Url     : http://weborto.net:8080/pipermail/ortho/attachments/20120722/b7a05913/attachment-0022.jpg 
----------- следущая часть -----------
Вложение не в текстовом формате было извлечено…
Имя     : 8 ID exfix.jpg
Тип     : image/jpg
Размер  : 23958 байтов
Описание: отсутствует
Url     : http://weborto.net:8080/pipermail/ortho/attachments/20120722/b7a05913/attachment-0023.jpg 
----------- следущая часть -----------
Вложение не в текстовом формате было извлечено…
Имя     : 9 ID Exfix .jpg
Тип     : image/jpg
Размер  : 36741 байтов
Описание: отсутствует
Url     : http://weborto.net:8080/pipermail/ortho/attachments/20120722/b7a05913/attachment-0024.jpg 
----------- следущая часть -----------
Вложение не в текстовом формате было извлечено…
Имя     : 10 ID Exfix.jpg
Тип     : image/jpg
Размер  : 35974 байтов
Описание: отсутствует
Url     : http://weborto.net:8080/pipermail/ortho/attachments/20120722/b7a05913/attachment-0025.jpg 
----------- следущая часть -----------
Вложение не в текстовом формате было извлечено…
Имя     : 11 Pilon pic ID.jpg
Тип     : image/jpg
Размер  : 42327 байтов
Описание: отсутствует
Url     : http://weborto.net:8080/pipermail/ortho/attachments/20120722/b7a05913/attachment-0026.jpg 
----------- следущая часть -----------
Вложение не в текстовом формате было извлечено…
Имя     : 12 Open Pilon pic ID.jpg
Тип     : image/jpg
Размер  : 46876 байтов
Описание: отсутствует
Url     : http://weborto.net:8080/pipermail/ortho/attachments/20120722/b7a05913/attachment-0027.jpg 
----------- следущая часть -----------
Вложение не в текстовом формате было извлечено…
Имя     : 14 Open Pilon ID.jpg
Тип     : image/jpg
Размер  : 42418 байтов
Описание: отсутствует
Url     : http://weborto.net:8080/pipermail/ortho/attachments/20120722/b7a05913/attachment-0028.jpg 
----------- следущая часть -----------
Вложение не в текстовом формате было извлечено…
Имя     : 15 Open Pilon ID.jpg
Тип     : image/jpg
Размер  : 48353 байтов
Описание: отсутствует
Url     : http://weborto.net:8080/pipermail/ortho/attachments/20120722/b7a05913/attachment-0029.jpg 
----------- следущая часть -----------
Вложение не в текстовом формате было извлечено…
Имя     : 16 Open Pilon ID.jpg
Тип     : image/jpg
Размер  : 74383 байтов
Описание: отсутствует
Url     : http://weborto.net:8080/pipermail/ortho/attachments/20120722/b7a05913/attachment-0030.jpg 
----------- следущая часть -----------
Вложение не в текстовом формате было извлечено…
Имя     : 19 ID.jpg
Тип     : image/jpg
Размер  : 32073 байтов
Описание: отсутствует
Url     : http://weborto.net:8080/pipermail/ortho/attachments/20120722/b7a05913/attachment-0031.jpg 
----------- следущая часть -----------
Вложение не в текстовом формате было извлечено…
Имя     : 21 Ilizarov.jpg
Тип     : image/jpg
Размер  : 44252 байтов
Описание: отсутствует
Url     : http://weborto.net:8080/pipermail/ortho/attachments/20120722/b7a05913/attachment-0032.jpg 
----------- следущая часть -----------
Вложение не в текстовом формате было извлечено…
Имя     : 22 Ilizarov.jpg
Тип     : image/jpg
Размер  : 51183 байтов
Описание: отсутствует
Url     : http://weborto.net:8080/pipermail/ortho/attachments/20120722/b7a05913/attachment-0033.jpg 
----------- следущая часть -----------
Вложение не в текстовом формате было извлечено…
Имя     : 23 Midfoot fixation.jpg
Тип     : image/jpg
Размер  : 42509 байтов
Описание: отсутствует
Url     : http://weborto.net:8080/pipermail/ortho/attachments/20120722/b7a05913/attachment-0034.jpg 
----------- следущая часть -----------
Вложение не в текстовом формате было извлечено…
Имя     : 25 Midfoot fragment.jpg
Тип     : image/jpg
Размер  : 35762 байтов
Описание: отсутствует
Url     : http://weborto.net:8080/pipermail/ortho/attachments/20120722/b7a05913/attachment-0035.jpg 
----------- следущая часть -----------
Вложение не в текстовом формате было извлечено…
Имя     : 26 Midfoot final.jpg
Тип     : image/jpg
Размер  : 36837 байтов
Описание: отсутствует
Url     : http://weborto.net:8080/pipermail/ortho/attachments/20120722/b7a05913/attachment-0036.jpg 
----------- следущая часть -----------
Вложение не в текстовом формате было извлечено…
Имя     : 27 Midfoot final.jpg
Тип     : image/jpg
Размер  : 28011 байтов
Описание: отсутствует
Url     : http://weborto.net:8080/pipermail/ortho/attachments/20120722/b7a05913/attachment-0037.jpg 


Подробная информация о списке рассылки Ortho