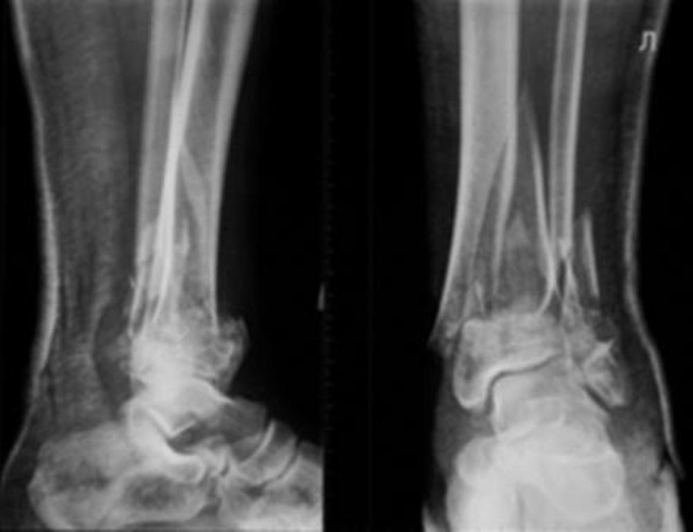
[Ortho] Перелом дистального отдела костей голени

"Мацукатов Феодор" orthoforum на weborto.net
Вс Июл 22 19:41:01 YEKST 2012


До лечения, в процессе, через 8 мес.
Мацукатов Феодор
----------- следущая часть -----------
Вложение не в текстовом формате было извлечено…
Имя     : IMG_4312.JPG
Тип     : image/jpg
Размер  : 58883 байтов
Описание: отсутствует
Url     : http://weborto.net:8080/pipermail/ortho/attachments/20120722/d34f129b/attachment-0003.jpg 
----------- следущая часть -----------
Вложение не в текстовом формате было извлечено…
Имя     : IMG_4313.JPG
Тип     : image/jpg
Размер  : 68586 байтов
Описание: отсутствует
Url     : http://weborto.net:8080/pipermail/ortho/attachments/20120722/d34f129b/attachment-0004.jpg 
----------- следущая часть -----------
Вложение не в текстовом формате было извлечено…
Имя     : IMG_6083.JPG
Тип     : image/jpg
Размер  : 48319 байтов
Описание: отсутствует
Url     : http://weborto.net:8080/pipermail/ortho/attachments/20120722/d34f129b/attachment-0005.jpg 


Подробная информация о списке рассылки Ortho