[Ortho] Ложный сустав вертельной области и с/з диафиза бедра

"Абдурашид" orthoforum на weborto.net
Ср Июл 25 07:30:23 YEKST 2012


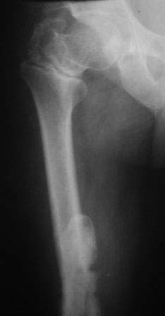
    Уважаемые коллеги. Госпитализирован б-ной 47 лет, травма высотная 9 месяцев назад, тогда оперирован и/м остеосинтез ( чрезвертельный перелом не диагностирован) в одном мед.объединение, через 3 месяца почему-то штифт удален. Больной ходит с двумя костылями, ногу не нагружает, выраженная патологическая подвижность в с/з бедра, в обл вертелов патологическую подвижность определить не удается, умеренная отечность всего бедра, укорочение около 4-5см. 
 В плане в начале дистрактор, после устранения укорочение и репозиции БИОС реконструктивным стержнем( универсальным).
 Уважаемые коллеги помогите советом!, какие другие варианты, нъюансы, случаи из практики!
  С уважением Абдурашид. 
----------- следущая часть -----------
Вложение в формате HTML было извлечено…
URL: http://weborto.net:8080/pipermail/ortho/attachments/20120725/ccce7326/attachment-0001.htm 
----------- следущая часть -----------
Вложение не в текстовом формате было извлечено…
Имя     : 2012-07-23-251.jpg
Тип     : image/jpg
Размер  : 20381 байтов
Описание: отсутствует
Url     : http://weborto.net:8080/pipermail/ortho/attachments/20120725/ccce7326/attachment-0002.jpg 
----------- следущая часть -----------
Вложение не в текстовом формате было извлечено…
Имя     : 2012-07-23-253.jpg
Тип     : image/jpg
Размер  : 19185 байтов
Описание: отсутствует
Url     : http://weborto.net:8080/pipermail/ortho/attachments/20120725/ccce7326/attachment-0003.jpg 


Подробная информация о списке рассылки Ortho