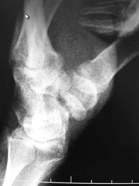
[Ortho] Ложный сустав ладьевидной кости

"Константин" orthoforum на weborto.net
Ср Июл 25 22:42:48 YEKST 2012


Уважаемые коллеги! Выскажете свое мнение по тактике лечения.

2ая проекция
Константин
----------- следущая часть -----------
Вложение не в текстовом формате было извлечено…
Имя     : IMG_0128.JPG
Тип     : image/jpg
Размер  : 41115 байтов
Описание: отсутствует
Url     : http://weborto.net:8080/pipermail/ortho/attachments/20120725/260f6173/attachment-0001.jpg 


Подробная информация о списке рассылки Ortho