[Ortho] новообразование

ANVAR orthoforum на weborto.net
Ср Июл 25 23:02:05 YEKST 2012


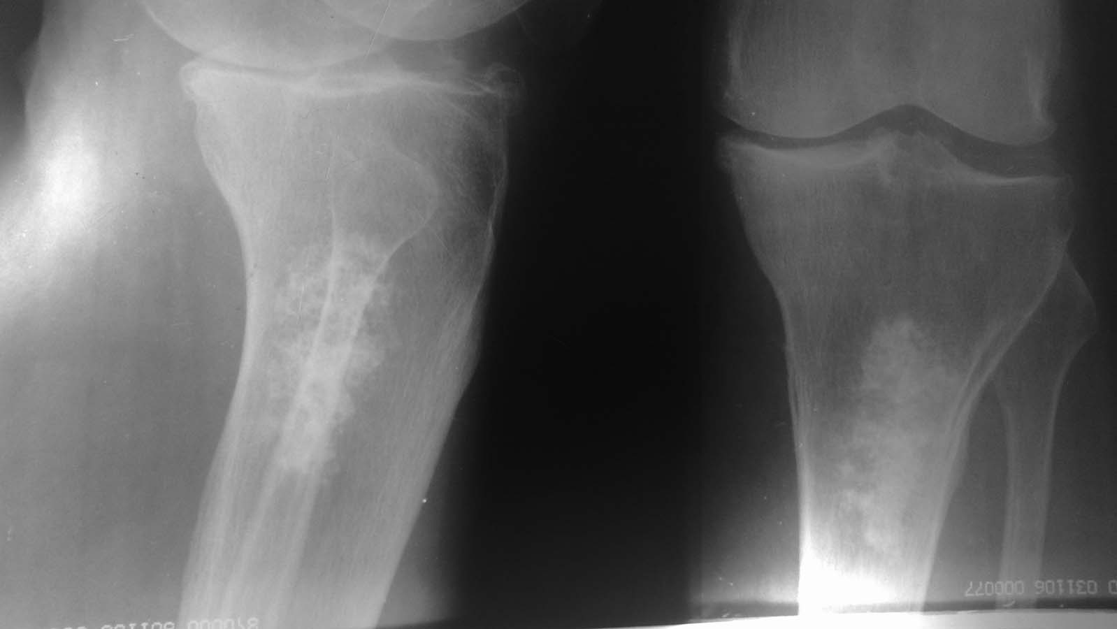
Пациентка 65 лет
 что это может быть за образование?
ANVAR
----------- следущая часть -----------
Вложение в формате HTML было извлечено…
URL: http://weborto.net:8080/pipermail/ortho/attachments/20120725/fd0e3db3/attachment-0001.htm 
----------- следущая часть -----------
Вложение не в текстовом формате было извлечено…
Имя     : 12070007.jpg
Тип     : image/jpg
Размер  : 49129 байтов
Описание: отсутствует
Url     : http://weborto.net:8080/pipermail/ortho/attachments/20120725/fd0e3db3/attachment-0001.jpg 


Подробная информация о списке рассылки Ortho