[Ortho] Сложный случай, Помогите выбрать тактику лечения и имплантаты.

Harisych orthoforum на weborto.net
Вс Июл 29 06:05:44 YEKST 2012


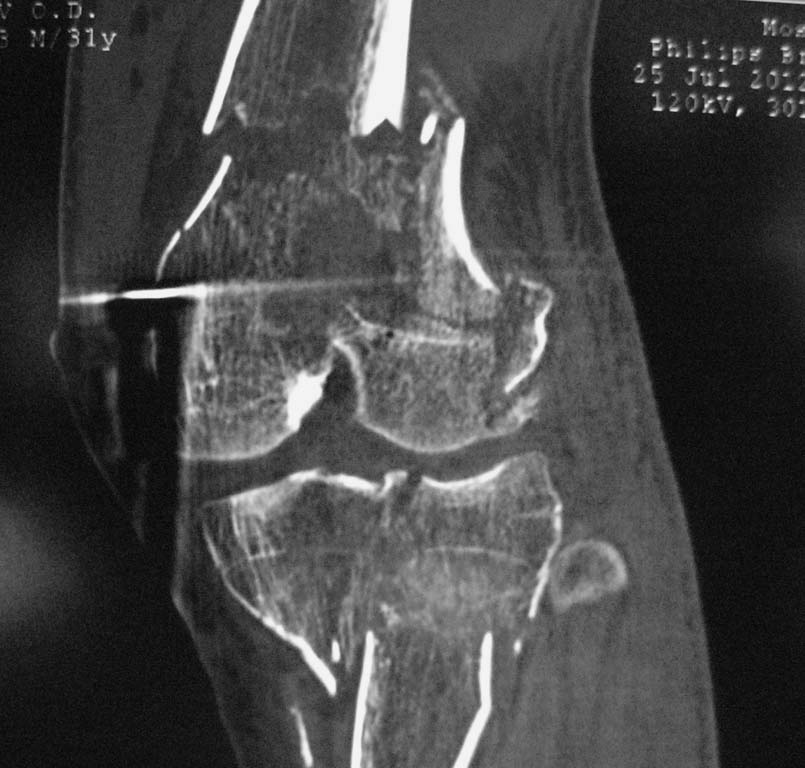
Нужен совет. Открытый перелом в\3 диафиза с оскольчатым переломом дистального метаэпифиза бедра. Закрытый оскольчатый внутрисуставной перелом проксимального отдела большеберцовой кости той же конечности.

При поступлении ПХО ран, скелетное вытяжение. Рана зажила первичным натяжением. Осложнилось правосторонней пневмонией. Предстоит выбрать тактику оперативного лечения и камими имплатнатами.
По нашему мнению случай нестандартный, требуется обсуждение коллег.
Harisych
----------- следущая часть -----------
Вложение не в текстовом формате было извлечено…
Имя     : IMG_2192.JPG
Тип     : image/jpg
Размер  : 89136 байтов
Описание: отсутствует
Url     : http://weborto.net:8080/pipermail/ortho/attachments/20120729/95849396/attachment-0005.jpg 
----------- следущая часть -----------
Вложение не в текстовом формате было извлечено…
Имя     : IMG_2199.JPG
Тип     : image/jpg
Размер  : 111376 байтов
Описание: отсутствует
Url     : http://weborto.net:8080/pipermail/ortho/attachments/20120729/95849396/attachment-0006.jpg 
----------- следущая часть -----------
Вложение не в текстовом формате было извлечено…
Имя     : IMG_2203.JPG
Тип     : image/jpg
Размер  : 105211 байтов
Описание: отсутствует
Url     : http://weborto.net:8080/pipermail/ortho/attachments/20120729/95849396/attachment-0007.jpg 
----------- следущая часть -----------
Вложение не в текстовом формате было извлечено…
Имя     : IMG_2207.JPG
Тип     : image/jpg
Размер  : 45764 байтов
Описание: отсутствует
Url     : http://weborto.net:8080/pipermail/ortho/attachments/20120729/95849396/attachment-0008.jpg 
----------- следущая часть -----------
Вложение не в текстовом формате было извлечено…
Имя     : IMG_2208.JPG
Тип     : image/jpg
Размер  : 39149 байтов
Описание: отсутствует
Url     : http://weborto.net:8080/pipermail/ortho/attachments/20120729/95849396/attachment-0009.jpg 


Подробная информация о списке рассылки Ortho