[Ortho] ДЦП, Сколиоз и вывих бедра.

"Сергей Дукер" orthoforum на weborto.net
Сб Июн 16 00:55:11 YEKST 2012


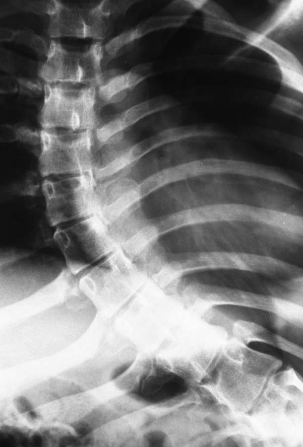
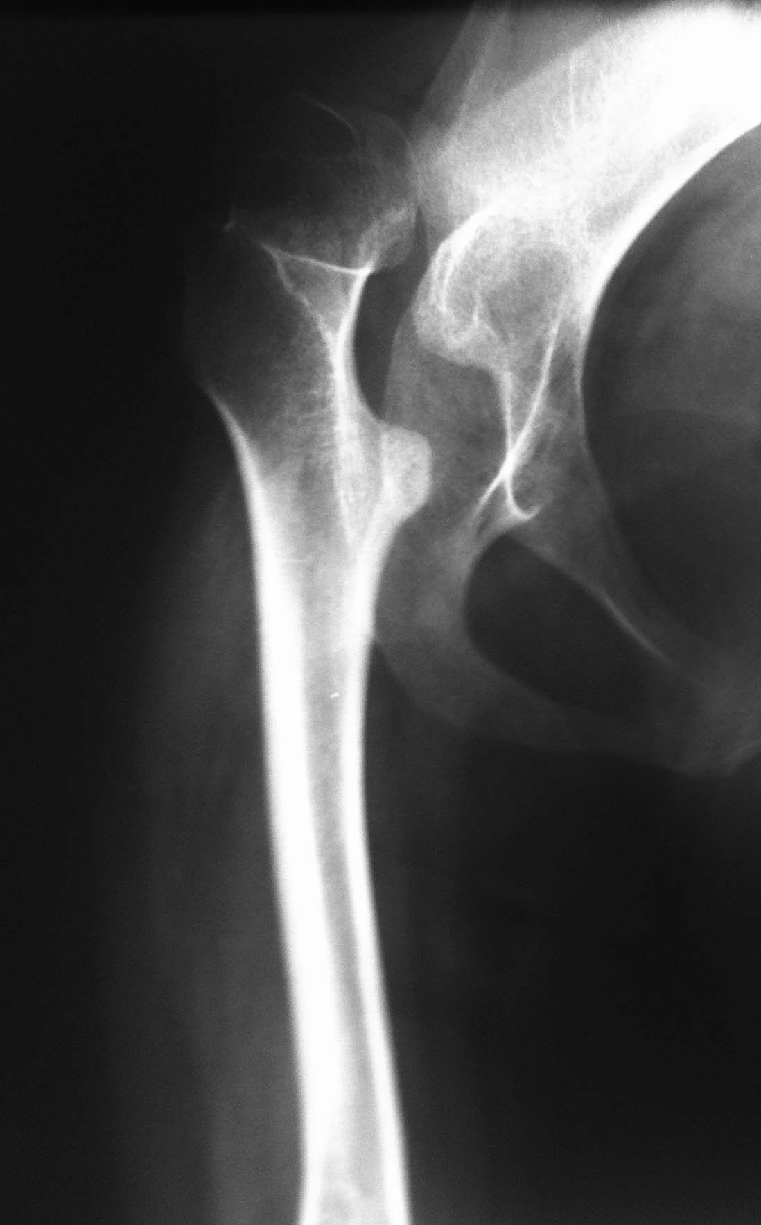
Пациентка 1992 г.р. Болеет ДЦП с рождения. до 2005 г. наблюдалась у неврологов , ходила с
поддержкой. В 2005 г. перелом средней трети бедра. Лечилась консервативно в больнице
Краснодара.

После лечения постепенно стала наростать укорочение конечности и искривление
позвоночника. На представленных Р-гр состояние на сегодняшний день. больная занимает
вынужденное полулежачее состояние. Вопрос где нибудь на просторах РФ могут помочь?????
Сергей Дукер
----------- следущая часть -----------
Вложение в формате HTML было извлечено…
URL: http://weborto.net:8080/pipermail/ortho/attachments/20120615/55d6ad19/attachment.html 
----------- следущая часть -----------
Вложение не в текстовом формате было извлечено…
Имя     : IMG_1445.jpg
Тип     : image/jpg
Размер  : 72491 байтов
Описание: отсутствует
Url     : http://weborto.net:8080/pipermail/ortho/attachments/20120615/55d6ad19/attachment-0004.jpg 
----------- следущая часть -----------
Вложение не в текстовом формате было извлечено…
Имя     : IMG_1446.jpg
Тип     : image/jpg
Размер  : 141944 байтов
Описание: отсутствует
Url     : http://weborto.net:8080/pipermail/ortho/attachments/20120615/55d6ad19/attachment-0005.jpg 
----------- следущая часть -----------
Вложение не в текстовом формате было извлечено…
Имя     : IMG_1447.jpg
Тип     : image/jpg
Размер  : 62884 байтов
Описание: отсутствует
Url     : http://weborto.net:8080/pipermail/ortho/attachments/20120615/55d6ad19/attachment-0006.jpg 
----------- следущая часть -----------
Вложение не в текстовом формате было извлечено…
Имя     : IMG_1448.jpg
Тип     : image/jpg
Размер  : 57277 байтов
Описание: отсутствует
Url     : http://weborto.net:8080/pipermail/ortho/attachments/20120615/55d6ad19/attachment-0007.jpg 


Подробная информация о списке рассылки Ortho