[Ortho] Перелом проксимального отдела локтевой кости

"Метелюк Игорь" orthoforum на weborto.net
Вт Июн 19 00:27:13 YEKST 2012


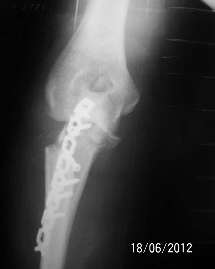
Доброго времени суток коллеги.
Операция состоялась. Выполнить остеосинтез головки лучевой кости не удалось из-за оскольчатого характера перелома. Её пришлось резецировать. Произведен остеосинтез проксимального отдела локтевой кости LCP реконструктивной пластиной. 
Рентгенограммы прилагаются. 
Метелюк Игорь
----------- следущая часть -----------
Вложение не в текстовом формате было извлечено…
Имя     : 100_3318.JPG
Тип     : image/jpg
Размер  : 29494 байтов
Описание: отсутствует
Url     : http://weborto.net:8080/pipermail/ortho/attachments/20120618/153f0f58/attachment-0001.jpg 


Подробная информация о списке рассылки Ortho