[Ortho] Тактика лечения политравмы?

Djoldas Kuldjanov orthoforum на weborto.net
Вт Июн 19 00:27:47 YEKST 2012


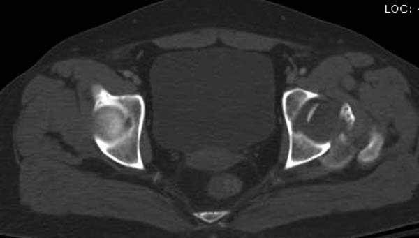
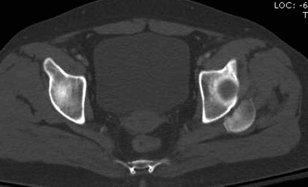
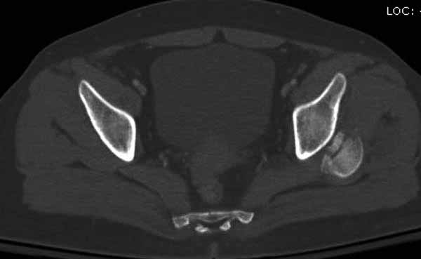
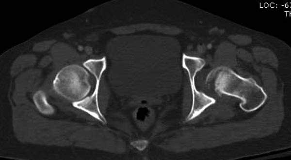
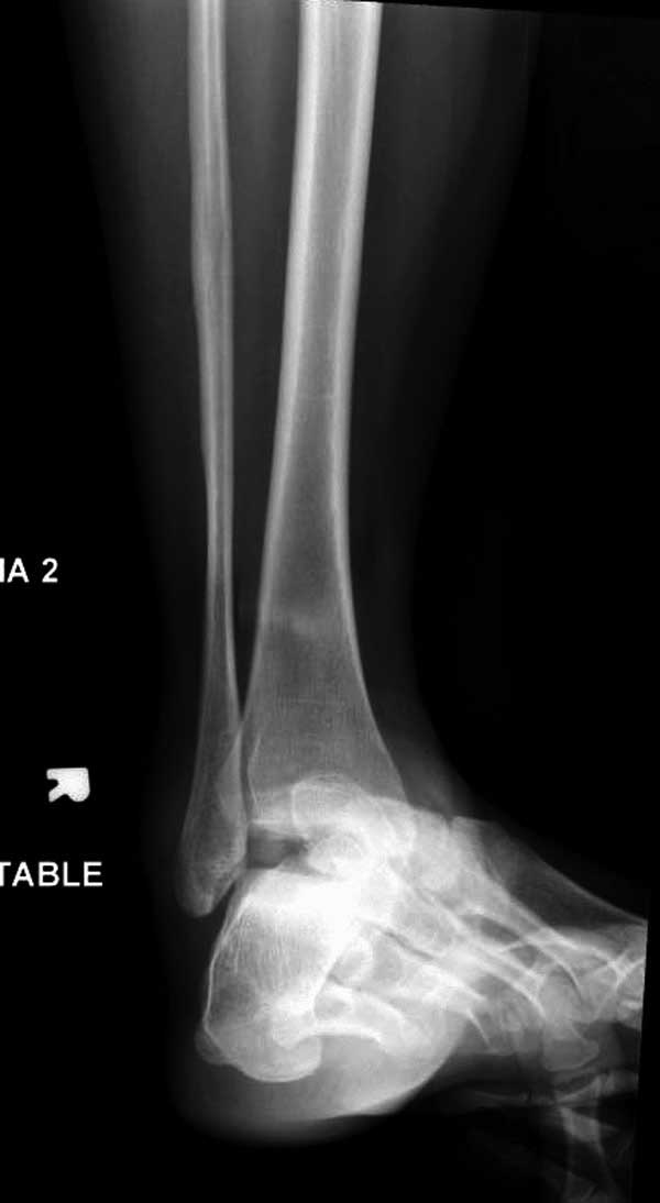
Женщина 28 лет, политравма. 

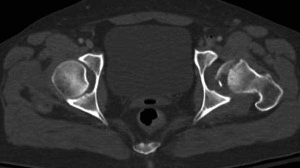
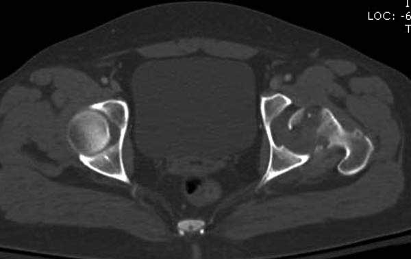
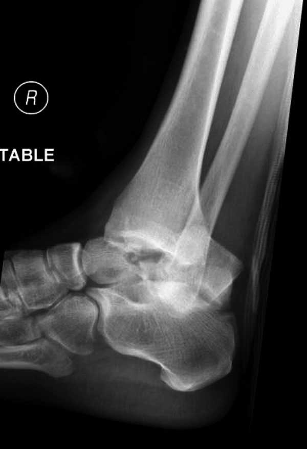
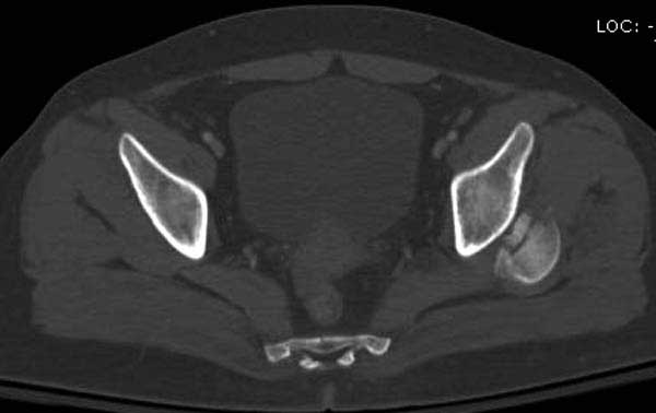
По протоколу обследования больных с травмой сделаны все исследования и выставлен диагноз: разрыв печени и селезенки; множественные переломы ребер и лицевого черепа; стабильный перелом позвоночника, переломо-вывих головки левого бедра, перелом диафиза правого бедра, переломо-вывих правого тарана.
Интубация, плевральный дренаж, удаление селезенки и лечение разрыва печени...<br><br>

Какую тактику препочтительно проводить в отношении переломов костей скелета при поступлении больной в середине ночи?

Djoldas Kuldjanov
----------- следущая часть -----------
Вложение не в текстовом формате было извлечено&hellip;
Имя     : 1 Fem diaphys fem neck 1.JPG
Тип     : image/jpg
Размер  : 30978 байтов
Описание: отсутствует
Url     : http://weborto.net:8080/pipermail/ortho/attachments/20120618/4c283bf6/attachment-0015.jpg 
----------- следущая часть -----------
Вложение не в текстовом формате было извлечено&hellip;
Имя     : 2 Fem diaphys fem neck 2.JPG
Тип     : image/jpg
Размер  : 42268 байтов
Описание: отсутствует
Url     : http://weborto.net:8080/pipermail/ortho/attachments/20120618/4c283bf6/attachment-0016.jpg 
----------- следущая часть -----------
Вложение не в текстовом формате было извлечено&hellip;
Имя     : 3 Fem diaphys fem neck 3.JPG
Тип     : image/jpg
Размер  : 35263 байтов
Описание: отсутствует
Url     : http://weborto.net:8080/pipermail/ortho/attachments/20120618/4c283bf6/attachment-0017.jpg 
----------- следущая часть -----------
Вложение не в текстовом формате было извлечено&hellip;
Имя     : 4 Fem diaphys fem neck 4.JPG
Тип     : image/jpg
Размер  : 32860 байтов
Описание: отсутствует
Url     : http://weborto.net:8080/pipermail/ortho/attachments/20120618/4c283bf6/attachment-0018.jpg 
----------- следущая часть -----------
Вложение не в текстовом формате было извлечено&hellip;
Имя     : 5 Fem diaphys fem neck 5.JPG
Тип     : image/jpg
Размер  : 29646 байтов
Описание: отсутствует
Url     : http://weborto.net:8080/pipermail/ortho/attachments/20120618/4c283bf6/attachment-0019.jpg 
----------- следущая часть -----------
Вложение не в текстовом формате было извлечено&hellip;
Имя     : 6 CT1.jpg
Тип     : image/jpg
Размер  : 26088 байтов
Описание: отсутствует
Url     : http://weborto.net:8080/pipermail/ortho/attachments/20120618/4c283bf6/attachment-0020.jpg 
----------- следущая часть -----------
Вложение не в текстовом формате было извлечено&hellip;
Имя     : 7CT2.JPG
Тип     : image/jpg
Размер  : 21412 байтов
Описание: отсутствует
Url     : http://weborto.net:8080/pipermail/ortho/attachments/20120618/4c283bf6/attachment-0021.jpg 
----------- следущая часть -----------
Вложение не в текстовом формате было извлечено&hellip;
Имя     : 8 CT3.JPG
Тип     : image/jpg
Размер  : 26337 байтов
Описание: отсутствует
Url     : http://weborto.net:8080/pipermail/ortho/attachments/20120618/4c283bf6/attachment-0022.jpg 
----------- следущая часть -----------
Вложение не в текстовом формате было извлечено&hellip;
Имя     : 9 CT4.JPG
Тип     : image/jpg
Размер  : 25067 байтов
Описание: отсутствует
Url     : http://weborto.net:8080/pipermail/ortho/attachments/20120618/4c283bf6/attachment-0023.jpg 
----------- следущая часть -----------
Вложение не в текстовом формате было извлечено&hellip;
Имя     : 10 CT5.JPG
Тип     : image/jpg
Размер  : 27486 байтов
Описание: отсутствует
Url     : http://weborto.net:8080/pipermail/ortho/attachments/20120618/4c283bf6/attachment-0024.jpg 
----------- следущая часть -----------
Вложение не в текстовом формате было извлечено&hellip;
Имя     : 11 CT6.JPG
Тип     : image/jpg
Размер  : 26524 байтов
Описание: отсутствует
Url     : http://weborto.net:8080/pipermail/ortho/attachments/20120618/4c283bf6/attachment-0025.jpg 
----------- следущая часть -----------
Вложение не в текстовом формате было извлечено&hellip;
Имя     : 12 CT7.JPG
Тип     : image/jpg
Размер  : 26723 байтов
Описание: отсутствует
Url     : http://weborto.net:8080/pipermail/ortho/attachments/20120618/4c283bf6/attachment-0026.jpg 
----------- следущая часть -----------
Вложение не в текстовом формате было извлечено&hellip;
Имя     : 13 CT8.JPG
Тип     : image/jpg
Размер  : 38468 байтов
Описание: отсутствует
Url     : http://weborto.net:8080/pipermail/ortho/attachments/20120618/4c283bf6/attachment-0027.jpg 
----------- следущая часть -----------
Вложение не в текстовом формате было извлечено&hellip;
Имя     : 14 CT9.JPG
Тип     : image/jpg
Размер  : 44809 байтов
Описание: отсутствует
Url     : http://weborto.net:8080/pipermail/ortho/attachments/20120618/4c283bf6/attachment-0028.jpg 
----------- следущая часть -----------
Вложение не в текстовом формате было извлечено&hellip;
Имя     : 15CT10.JPG
Тип     : image/jpg
Размер  : 47695 байтов
Описание: отсутствует
Url     : http://weborto.net:8080/pipermail/ortho/attachments/20120618/4c283bf6/attachment-0029.jpg 


Подробная информация о списке рассылки Ortho